找回密码
 注册

QQ登录

只需一步,快速开始

搜索
楼主: zhangwenlong

张文龙手外科学习笔记

  [复制链接]
 楼主| 发表于 2012-5-21 00:24:18 | 显示全部楼层
本帖最后由 zhangwenlong 于 2012-5-21 00:47 编辑

软骨由软骨组织及其周围的软骨膜构成。
软骨略有弹性,能承受压力,并耐磨。
软骨组织有软骨细胞、基质和纤维构成。

根据软骨内所含纤维的不同,可将软骨分为透明软骨、纤维软骨和弹性软骨。
回复 0 1

使用道具 举报

 楼主| 发表于 2012-5-21 00:28:50 | 显示全部楼层
本帖最后由 zhangwenlong 于 2012-5-21 00:31 编辑

《冬夜读书示子聿》
陆游
古人学问无遗力,少壮工夫老始成。
纸上得来终觉浅,绝知此事要躬行。

古人做学问总是不遗余力的,即使这样,也是从年轻开始就下苦功夫且不断努力,直至老年方才有所成就。
从书本上得到的知识终归是浅薄的,最终要想认识事物或事理的本质,还必须自己亲身的实践。
回复

使用道具 举报

 楼主| 发表于 2012-5-21 00:30:15 | 显示全部楼层
子聿(yu):陆游的小儿子
回复

使用道具 举报

 楼主| 发表于 2012-5-21 00:35:06 | 显示全部楼层
发散式学习
树状思维。
回复

使用道具 举报

发表于 2012-5-21 08:32:37 | 显示全部楼层
学到很多,谢谢你!
回复

使用道具 举报

 楼主| 发表于 2012-5-21 10:39:10 | 显示全部楼层
壁立千仞,无欲则刚
海纳百川,有容乃大
回复

使用道具 举报

发表于 2012-5-21 16:48:39 | 显示全部楼层
zhangwenlong 发表于 2012-5-20 23:34
上次夜班做的一个急诊。
原来留资料没有这么详细、清楚、系统过。
不管从硬件,还是理念。

不错哦,学习了。方式很多。只是包扎好像未露出看血运的地方
回复

使用道具 举报

发表于 2012-5-21 21:47:14 | 显示全部楼层
zhangwenlong 发表于 2012-5-20 23:17
只要你输入你的车位号码,按ok
下两层的车位会自动互相移位,空出三层车位下落的位置。
呵呵

挺先进的呀,可以让这边的停车场也做成那样就可以多了好多位置
回复

使用道具 举报

 楼主| 发表于 2012-5-22 00:02:37 | 显示全部楼层
今天下午再次到印刷厂,校对书稿。
这次真的要开工印刷啦。
下月初可以面市。

《手外科解剖图鉴》第二版。
本版采用软皮精装。
真正体会到了出一本独创、精品专著的艰辛。
回复

使用道具 举报

 楼主| 发表于 2012-5-22 13:21:50 | 显示全部楼层
本帖最后由 zhangwenlong 于 2012-5-22 16:44 编辑

今天在科内学术交流会上,汇报了指动脉系列皮瓣修复指软组织缺损。
各位老师给了很好的意见和建议。
也发现了自己的弱项和不足。
1.jpg
2.jpg
3.jpg
4.jpg
111.jpg
113.jpg
5.jpg
6.jpg
7.jpg
114.jpg
117.jpg
115.jpg
116.jpg
119.jpg
110.jpg
112.jpg
8.jpg
9.jpg
10.jpg

113.jpg
11.jpg

回复

使用道具 举报

 楼主| 发表于 2012-5-22 17:43:11 | 显示全部楼层
本帖最后由 zhangwenlong 于 2012-5-22 23:57 编辑

学术汇报点评总结:
1刘志波主任:手术要注重细节,内涵,考虑全面,不能秀花样!
谢谢刘主任,点拨的极是,一定注意。

2刘培庭主任:指侧方血管链皮瓣切取时是否需要带指背静脉?旋转点最远可以到哪里?
指侧方血管链是利用指动脉背侧支在指侧方形成的血管链为解剖基础的,血管蒂在手指侧方,不带指背静脉。旋转点可以达中节指骨中远1/3,如果创面在末节,远侧指间横纹没有损伤,只要不超过远侧指间横纹就是安全的。当然,为了安全,(万一指固有动脉终末背侧支的上行支发育不好或它和上一阶段背侧支的下行支没有形成吻合)保留旋转点至创面近侧缘之间1cm以上正常组织比较安全。个人这样认为。

3吴昊主任:指侧方血管链皮瓣做了多少?血供都好吗?蒂部处理如何处理?
指侧方血管链皮瓣我做过5个,第一个皮瓣就出现了危象,皮瓣红紫,血性水泡形成,最后表皮坏死脱痂,深层成活良好。后来的4例成活良好,没有出现危象。因为单位没有像省立医院这么好的条件,没有这么高端的显微镜。其实这个皮瓣在显微镜下切取才更安全,要结扎血管蒂游离部分的背侧支动脉,尤其是与指固有动脉相连一侧的。血管蒂很薄软,很小的卡压都会影响其血供,所以我在处理血管蒂旋转点以远的隧道时,一定切开,而且向两侧游离表皮足够宽,甚至有时切除部分隧道内软组织,形成一条预留管道容纳血管蒂。

4郑有卯师兄:整个课件听完后,没有一个很清晰、明朗的思路。只是介绍了一组病例,没有讲出该讲的内容;开头的指动脉皮瓣的历史单薄,没有讲指动脉皮瓣的发展演变过程;皮瓣设计存在问题,没有做到质地的相适性切取,大多是以背侧为供区;皮瓣的感觉随访如何没有报告。
谢谢郑有卯师兄,这几点讲的都是我的软肋。今后在学术交流和总结知识方面还要多向师兄学习;没有发掘和探究,不像一个做学问的研究生。也发现指动脉皮瓣存在一些有待改进的问题,包括供区选择、感觉的重建等等。

5仇申强老师:背侧作为供区,植皮后效果如何?有没有植皮坏死发生,怎么处理?
指背是一个传统的供区,最早是应用邻指指背皮瓣修复指腹或指端缺损。我所做的病例中没有出现过植皮坏死。植皮后功能恢复达到患者满意。个人觉得植皮时要注意在臂内侧或腹股沟区区全厚皮片,另外皮片取得要足够大,预算出手指极度屈曲位的皮肤释放面积。当然,皮瓣切取时,保护完整的伸肌腱腱膜是植皮成活的关键。

6进修医师:背侧支皮瓣蒂部带多宽?背侧支血管直径有多少?
背侧支皮瓣切取时我没有刻意显露背侧支血管,只是在背侧支血管发出位置,切取约3-5mm的筋膜蒂把背侧支血管包含在内即可,因为背侧支血管发出位置比较深,切取蒂部时一定紧贴骨膜切取。我没有测量和统计过背侧支血管的直径。

7王老师点评:
a指背皮肤不是一个很好的供区,科里不提倡,因为指背皮肤感觉本来就差,转移后,即使吻合神经也恢复不到原来的感觉敏感度。另外把皮肤的感觉神经取走了,植皮后,感觉恢复更差,指背是裸露在最外表的,磕碰外伤很容易损伤。
b背侧支皮瓣蒂部可以再窄,只带背侧支血管即可,显微镜下操作。背侧支血管直径>0.1mm。
c指端创面修复的要求:选择皮肤带有脂肪容量的皮瓣;质地相似;感觉可以重建。
d皮瓣是否耐磨取决于皮瓣感觉的恢复程度。正常足底,如果踝上胫神经,同样会很快形成溃疡。
e指间关节背侧的皮肤作为供区是禁忌。
f吻合皮瓣的皮神经一定有益。
g远端蒂皮瓣和近端蒂皮瓣很早就有文献报道。皮瓣逆行供血、顺行供血不好界定,有时皮瓣跨两个皮支,可能有顺行供血也有逆行供血存在。

点评

实用!  发表于 2012-5-25 12:33
回复 1 0

使用道具 举报

 楼主| 发表于 2012-5-22 19:05:02 | 显示全部楼层
工欲善其事,必先利其器。
选择好的手术器械和固定材料,可以提高手术质量和效果。
选择锋利克氏针的很快钻入骨质,即使通过关节面,对关节软骨的损伤也是很小的。禁忌反复穿过关节面。
在剪断克氏针做成斜面时,一定在骨锉上把斜面锉得锋利,而且使斜面宽度小于克氏针直径,否则钻出的孔大于克氏针直径。
回复 1 0

使用道具 举报

 楼主| 发表于 2012-5-22 19:13:35 | 显示全部楼层
本帖最后由 zhangwenlong 于 2012-5-23 09:28 编辑

手术时机的选择和多种术式的先后安排原则:
手术一次完成,坚强固定,可靠吻合,肌腱关节松解,术后即刻功能练习当然最好,但目前的医疗环境不容许存在风险,所以常常要把动和静手术分开完成。
1先做需制动的术式,包括神经,血管的吻合或移植;骨与关节的修复重建;肌腱的吻合或移植;皮肤的整形或置换,为再次行功能改善手术做准备。
2然后做功能性手术,如肌腱和关节松解,术后需及时功能练习。
有时动,静手术也各自需要分次完成。
回复

使用道具 举报

发表于 2012-5-22 19:51:14 | 显示全部楼层
深刻学习啊!
回复

使用道具 举报

发表于 2012-5-22 19:56:13 | 显示全部楼层
zhangwenlong 发表于 2012-5-20 23:17
只要你输入你的车位号码,按ok
下两层的车位会自动互相移位,空出三层车位下落的位置。
呵呵

目瞪口呆
回复

使用道具 举报

 楼主| 发表于 2012-5-22 23:04:16 | 显示全部楼层
周六夜班收了9个病人,手术室4台显微镜同时使用了,外边还有一个病人需要再植。
1.jpg
2.jpg
3.jpg
4.jpg
5.jpg
6.jpg
7.jpg
8.jpg
9.jpg
10.jpg
回复 1 0

使用道具 举报

 楼主| 发表于 2012-5-22 23:16:08 | 显示全部楼层
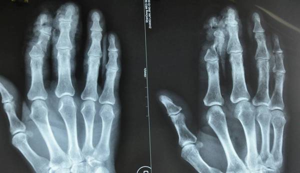
另一个急诊。
1.jpg
2.jpg
3.jpg
4.jpg
5.jpg
6.jpg
7.jpg
回复

使用道具 举报

 楼主| 发表于 2012-5-23 23:58:12 | 显示全部楼层
本帖最后由 zhangwenlong 于 2012-5-24 00:00 编辑


Frohse弓:

Arcade of Frohse,sometimes called the supinator arch,is the most superior part of the superficial layer of the supinator muscle, and is a fibrous arch over the posterior interosseous nerve.

Frohse弓,也叫旋后肌弓,是旋后肌上端表层肌肉围成弓型,其内有骨间后神经通过。

The arcade of Frohse is a site of radial nerve entrapment,and is believed to play a role in causing progressive paralysis of the posterior interosseous nerve, both with and without injury.

Frohse弓是桡神经容易引起卡压的部位,无论有没有外伤诱因,都可能引起骨间后神经的进行性瘫痪。

The arcade of Frohse was named after German anatomist, Fritz Frohse (1871-1916).

Frohse弓是根据德国解剖学家Fritz Frohse 命名的。

1.jpg
回复

使用道具 举报

 楼主| 发表于 2012-5-24 00:08:48 | 显示全部楼层
本帖最后由 zhangwenlong 于 2012-5-24 00:13 编辑

在宿舍修订书稿,争取6月初印刷出版。
1.jpg
5.jpg
回复

使用道具 举报

 楼主| 发表于 2012-5-24 00:17:53 | 显示全部楼层
本帖最后由 zhangwenlong 于 2012-5-24 19:59 编辑

这种民间手艺已经不多了。
这是早上7点在小区里看到的。
老人很认真的磨着刀。
一把刀磨好收10元钱。
小点的8块。

磨刀老头.zip (919.35 KB, 下载次数: 1204)

2.jpg
3.jpg
4.jpg
回复

使用道具 举报

您需要登录后才可以回帖 登录 | 注册

本版积分规则

QQ|Archiver|手机版|小黑屋|中华手外科网 ( 鲁ICP备16039852号-3 )鲁公网安备 37010302000762号

GMT+8, 2025-10-2 09:28 , Processed in 0.028345 second(s), 10 queries , Redis On.

技术支持:山东济南

© 2001-2013 中华手外科网

快速回复 返回顶部 返回列表