找回密码
 注册

QQ登录

只需一步,快速开始

搜索
楼主: zhangwenlong

张文龙手外科学习笔记

  [复制链接]
 楼主| 发表于 2025-8-10 20:54:16 来自手机 | 显示全部楼层
百岁师爷参加亚太解剖学大会
mmexport1754704023743.jpg
mmexport1754704007108.jpg
mmexport1754704000704.jpg
回复

使用道具 举报

 楼主| 发表于 2025-8-10 20:56:36 来自手机 | 显示全部楼层
每年一次赶海
IMG_20250809_164034.jpg
IMG_20250809_164405.jpg
IMG_20250810_051037.jpg
IMG_20250810_054148.jpg
回复

使用道具 举报

 楼主| 发表于 2025-8-10 20:58:25 来自手机 | 显示全部楼层
落潮后小螃蟹的窝
IMG_20250810_050450.jpg
IMG_20250810_050501.jpg
IMG_20250810_050506.jpg
回复

使用道具 举报

 楼主| 发表于 2025-8-19 11:23:19 来自手机 | 显示全部楼层
医师节快乐
mmexport1755572788776.jpg
mmexport1755572724576.jpg
mmexport1755572669263.jpg
回复

使用道具 举报

 楼主| 发表于 2025-8-19 11:23:55 来自手机 | 显示全部楼层
医务人员辛苦啦
mmexport1755572673467.jpg
回复

使用道具 举报

 楼主| 发表于 2025-8-20 19:21:53 来自手机 | 显示全部楼层
本帖最后由 zhangwenlong 于 2025-8-26 17:46 编辑

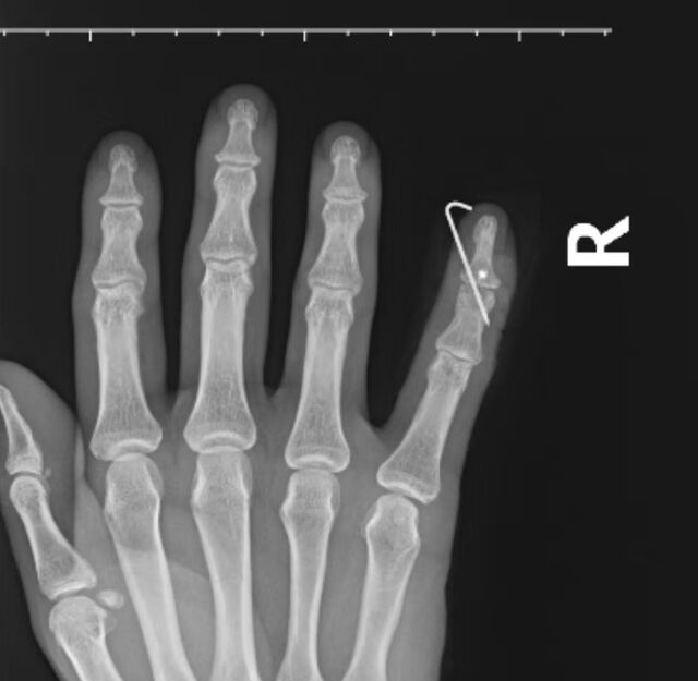
今天下午到省三院做了1台锤状指翻修手术。患者是三院内科的1名年轻医生,已经做过两次手术了,用了金属锚钉,再次复发4年了。
依然应用手套止血带法,采用“H”形切口,完全显露伸肌腱I~II区,术中见伸肌腱完全瘢痕化与中节背侧皮肤、中节指骨背侧粘连非常严重,分不清层次,而且伸肌腱侧束在近节指骨头处向两侧滑脱分离,这个病例是我做过的锤状指病例中(300余例)最严重的。最后决定取掌长肌腱游离移植。固定DIP关节于伸直位,克氏针从末节侧方进针斜行固定关节(这样固定的优点我稍后讲解),先切除伸肌腱瘢痕部分,把近侧滑脱的侧束充分松解后,拉向中线,用5-0普里灵缝线8字缝合一针,移植肌腱约1.8cm。远端端缝合,采用5-0普里灵缝线连续缝合,近端与侧束连续缝合,然后再把移植的掌长肌腱劈成两股,分别与两个侧束间断缝合。最后闭合伤口,近侧的舌形瓣长约1.5cm,而且远端很薄,血运还可以。由于4年的锤状指,背侧皮肤已被拉伸臃余,正好切除多余的近侧舌形瓣最远端皮条约3mm宽。油纱敷料包扎,铝板固定。
微信截图_20250826174620.png
回复

使用道具 举报

 楼主| 发表于 2025-8-20 19:39:07 来自手机 | 显示全部楼层
本帖最后由 zhangwenlong 于 2025-8-26 17:47 编辑

克氏针斜行固定DIP关节与垂直贯穿固定有3个优点:
1,进针点比末节指骨尖端宽大,容易进针。
2,不会误穿到甲床下,损伤甲基质,引起甲板畸形或者甲根坏死。
3,克氏针针尾留在指侧方,比留在指端安全,减少不慎勾住衣物拔出的风险。
术中白主任也同意我的观点,他还提出另外一个优点,就是
4,一旦出现断针,针尖部分也可以从侧方取出来,因为大多数情况是克氏针穿透中节指骨两层皮质,从指侧方出来的。
微信截图_20250826174438.png
微信图片_20250826174508.png
回复

使用道具 举报

 楼主| 发表于 2025-8-20 19:51:23 来自手机 | 显示全部楼层
本帖最后由 zhangwenlong 于 2025-8-21 06:28 编辑

做完手术,护士长带我到手外科病房,给3个护士和1个康复科医生做了微针除痛治疗,效果显著,针出痛止(治疗了4个人,疼痛包括:两个腰痛,两个拇指腱鞘炎,一个肘管综合征,一个双小腿发凉,一个髌骨骨折4个月康复训练中疼痛)。护士长说她也要参加我的培训班,学习微针除痛技术!
正好9月份有1个天津精讲班,1个全国巡讲班
第六期通知.jpg
第十一届全国班.jpg
回复

使用道具 举报

 楼主| 发表于 2025-8-20 20:12:57 来自手机 | 显示全部楼层
19:50安全返津
IMG_20250820_194956.jpg
回复

使用道具 举报

 楼主| 发表于 2025-8-20 20:18:22 来自手机 | 显示全部楼层
本帖最后由 zhangwenlong 于 2025-8-20 20:51 编辑

感谢护士长路上给带的水果捞
倍儿甜
微信截图_20250820205101.png
回复

使用道具 举报

 楼主| 发表于 2025-8-25 19:52:23 来自手机 | 显示全部楼层
中国医师协会显微外科学分会
2025年学术会议
在云南昆明胜利召开
mmexport1755822234150.jpg
mmexport1755822238752.jpg
回复

使用道具 举报

 楼主| 发表于 2025-8-25 19:53:05 来自手机 | 显示全部楼层
mmexport1755822242140.jpg
回复

使用道具 举报

 楼主| 发表于 2025-8-25 19:58:30 | 显示全部楼层
本次会议投稿,小关节显微修复学组共收到投稿58篇
除了有会议冲突或特殊原因不能参会的投稿外
共安排学组会议发言51人次
分为大师讲坛、小关节置换及小关节重建专题、腕关节镜专题、手部关节创伤与重建技术、手部软组织重建技术及其他,共5部分
回复

使用道具 举报

 楼主| 发表于 2025-8-25 19:59:55 来自手机 | 显示全部楼层
mmexport115d06e2fa0e0ce4ce4f53e7edfe3547_1755957344182.jpeg
mmexport5bf64c4ea0014769bca37a20164ac52c_1755957405994.jpeg
mmexport597297ed5c48391a4df530f2d1e9a88f_1755957414013.jpeg
回复

使用道具 举报

 楼主| 发表于 2025-8-25 20:01:42 来自手机 | 显示全部楼层
关注小关节显微修复的同道还是很多的
mmexportfdad30d4fcfc16f2c61005b8afdf4e82_1755957578593.jpeg
回复

使用道具 举报

 楼主| 发表于 2025-8-25 20:04:10 来自手机 | 显示全部楼层
本帖最后由 zhangwenlong 于 2025-8-25 20:05 编辑

IMG_20250823_103727.jpg
IMG_20250823_105126.jpg
回复

使用道具 举报

 楼主| 发表于 2025-8-25 20:05:06 来自手机 | 显示全部楼层
IMG_20250823_111425.jpg
回复

使用道具 举报

 楼主| 发表于 2025-8-25 20:09:14 | 显示全部楼层
赵德伟会长也做了专题讲座
微信图片_20250825200841.jpg
回复

使用道具 举报

 楼主| 发表于 2025-8-25 20:10:38 | 显示全部楼层
微信图片_20250825200942.jpg
微信图片_20250825200948.jpg
回复

使用道具 举报

 楼主| 发表于 2025-8-25 20:11:23 | 显示全部楼层
品傣族美食
赏傣族歌舞
微信图片_20250825201019.jpg
微信图片_20250825201012.jpg
回复

使用道具 举报

您需要登录后才可以回帖 登录 | 注册

本版积分规则

QQ|Archiver|手机版|小黑屋|中华手外科网 ( 鲁ICP备16039852号-3 )鲁公网安备 37010302000762号

GMT+8, 2025-10-3 08:59 , Processed in 0.017014 second(s), 5 queries , Redis On.

技术支持:山东济南

© 2001-2013 中华手外科网

快速回复 返回顶部 返回列表