找回密码
 注册

QQ登录

只需一步,快速开始

搜索
楼主: zhangwenlong

张文龙手外科学习笔记

  [复制链接]
 楼主| 发表于 2023-6-22 13:36:45 | 显示全部楼层
价格12000左右
回复

使用道具 举报

 楼主| 发表于 2023-6-22 17:49:57 | 显示全部楼层
本帖最后由 zhangwenlong 于 2023-6-22 18:35 编辑

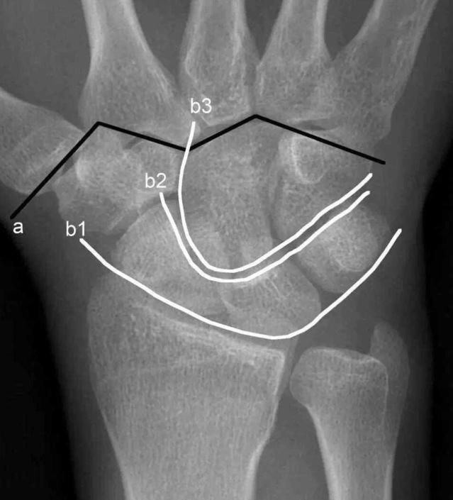
一例经舟骨月骨周围脱位患者,知识点:
1舟骨是连接近排腕骨、远排腕骨的纽带,在月骨周围脱位损伤中扮演中医角色
2其远极与大、小多角骨向关节,近侧与月骨、头状骨向关节
3影像学上,可以用Gilula线评价桡腕及腕中关节,如此弧线平滑、无中断,说明各腕骨位置关系正常,否则提示有异常
4腕关节韧带分为外在韧带和内在韧带
11AKA3Y1.jpg
4O39BJ5E.jpg
回复

使用道具 举报

 楼主| 发表于 2023-6-22 17:59:23 | 显示全部楼层
桡舟头韧带是稳定桡腕关节的主要韧带
桡舟月韧带的作用主要是形成骨间前血管及神经的通道,而非稳定作用
Poirier间隙位于桡腕关节水平,桡舟头和桡月韧带之间
此处为关节囊的薄弱处
长桡月韧带是最强的外在韧带
微信图片_20230622180414.png
微信图片_20230622180432.png
回复

使用道具 举报

 楼主| 发表于 2023-6-22 18:12:55 | 显示全部楼层
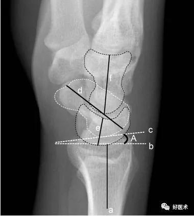
腕关节侧位阅片
82b13a9aa64747cdb63500cd66fd4939.png
回复

使用道具 举报

 楼主| 发表于 2023-6-22 18:52:10 | 显示全部楼层
X线正位片中,Gilula线中断则提示腕关节异常
各腕骨间隙大于等于2mm,且与健侧不同,提示异常
回复

使用道具 举报

 楼主| 发表于 2023-6-22 23:27:44 | 显示全部楼层
关于舟骨的入路:

Russe入路,用于治疗舟骨骨折的特定入路
对舟骨血运影响小

QQ截图20230622233159.png
回复

使用道具 举报

 楼主| 发表于 2023-6-22 23:28:19 | 显示全部楼层
QQ截图20230622233242.png
QQ截图20230622233315.png

回复

使用道具 举报

 楼主| 发表于 2023-6-22 23:30:23 | 显示全部楼层
QQ截图20230622233357.png
QQ截图20230622233417.png
回复

使用道具 举报

 楼主| 发表于 2023-6-22 23:35:37 | 显示全部楼层
Wiesel骨科手术学第3卷
QQ截图20230622233952.png
回复

使用道具 举报

 楼主| 发表于 2023-6-22 23:37:33 | 显示全部楼层
作者推荐背侧入路
QQ截图20230622234127.png
    QQ截图20230622234144.png
回复

使用道具 举报

 楼主| 发表于 2023-6-22 23:39:15 | 显示全部楼层
QQ截图20230622234339.png
回复

使用道具 举报

 楼主| 发表于 2023-6-22 23:50:28 | 显示全部楼层
导针的进针点位于舟骨近端,舟月韧带膜部
拍摄正位,侧位,旋前30°位导针均在舟骨中轴
方可拧如加压螺钉
回复

使用道具 举报

 楼主| 发表于 2023-6-22 23:55:32 | 显示全部楼层
QQ截图20230622235946.png
回复

使用道具 举报

 楼主| 发表于 2023-6-22 23:57:22 | 显示全部楼层
QQ截图20230623000146.png
回复

使用道具 举报

 楼主| 发表于 2023-6-23 00:13:23 | 显示全部楼层
本帖最后由 zhangwenlong 于 2023-6-23 00:46 编辑

背侧入路解剖
QQ截图20230623001642.png
QQ截图20230623004757.png
QQ截图20230623004811.png
QQ截图20230623004823.png
QQ截图20230623004838.png
QQ截图20230623004902.png
QQ截图20230623004913.png
回复

使用道具 举报

 楼主| 发表于 2023-6-23 00:13:59 | 显示全部楼层
掌侧入路
QQ截图20230623001829.png
回复

使用道具 举报

 楼主| 发表于 2023-6-23 00:40:15 | 显示全部楼层
腕管入路显露腕舟骨
QQ截图20230623004430.png
回复

使用道具 举报

 楼主| 发表于 2023-6-23 00:40:50 | 显示全部楼层
总感觉有点深,不好操作
QQ截图20230623004508.png
回复

使用道具 举报

 楼主| 发表于 2023-6-23 00:41:14 | 显示全部楼层
QQ截图20230623004541.png
回复

使用道具 举报

 楼主| 发表于 2023-6-23 00:41:42 | 显示全部楼层
可以完成,但不是最佳入路
QQ截图20230623004603.png
回复

使用道具 举报

您需要登录后才可以回帖 登录 | 注册

本版积分规则

QQ|Archiver|手机版|小黑屋|中华手外科网 ( 鲁ICP备16039852号-3 )鲁公网安备 37010302000762号

GMT+8, 2025-11-10 20:30 , Processed in 0.022254 second(s), 5 queries , Redis On.

技术支持:山东济南

© 2001-2013 中华手外科网

快速回复 返回顶部 返回列表