找回密码
 注册

QQ登录

只需一步,快速开始

搜索
楼主: zhangwenlong

张文龙手外科学习笔记

  [复制链接]
 楼主| 发表于 2023-6-10 16:49:59 | 显示全部楼层
微信截图_20230610165415.png
回复

使用道具 举报

 楼主| 发表于 2023-6-10 16:51:44 | 显示全部楼层
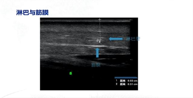
筋膜与淋巴管的比较
微信截图_20230610165557.png
回复

使用道具 举报

 楼主| 发表于 2023-6-10 16:52:40 | 显示全部楼层
微信截图_20230610165645.png
回复

使用道具 举报

 楼主| 发表于 2023-6-10 16:53:13 | 显示全部楼层
6+X切口:
微信截图_20230610165726.png
回复

使用道具 举报

 楼主| 发表于 2023-6-10 16:53:40 | 显示全部楼层
微信截图_20230610165752.png
回复

使用道具 举报

 楼主| 发表于 2023-6-10 16:55:00 | 显示全部楼层
淋巴管形态
微信截图_20230610165914.png
回复

使用道具 举报

 楼主| 发表于 2023-6-10 16:55:25 | 显示全部楼层
每分钟蠕动6-8次
回复

使用道具 举报

 楼主| 发表于 2023-6-10 17:53:33 | 显示全部楼层
微信截图_20230610175749.png
回复

使用道具 举报

 楼主| 发表于 2023-6-10 17:53:59 | 显示全部楼层
最后一个讲者
微信截图_20230610175814.png
回复

使用道具 举报

 楼主| 发表于 2023-6-10 17:54:22 | 显示全部楼层
微信截图_20230610175840.png
回复

使用道具 举报

 楼主| 发表于 2023-6-10 18:47:00 | 显示全部楼层
微信截图_20230610185110.png
回复

使用道具 举报

 楼主| 发表于 2023-6-10 18:47:20 | 显示全部楼层
微信截图_20230610185135.png
回复

使用道具 举报

 楼主| 发表于 2023-6-10 18:48:03 | 显示全部楼层
微信截图_20230610185215.png
回复

使用道具 举报

 楼主| 发表于 2023-6-10 19:22:14 | 显示全部楼层

鲶鱼效应
微信截图_20230610192629.png
回复

使用道具 举报

 楼主| 发表于 2023-6-10 19:24:52 | 显示全部楼层
本帖最后由 zhangwenlong 于 2023-6-11 22:54 编辑

微信截图_20230610192904.png

回复

使用道具 举报

 楼主| 发表于 2023-6-10 19:26:23 | 显示全部楼层
本帖最后由 zhangwenlong 于 2023-6-11 22:54 编辑

会议圆满结束!
微信截图_20230611225608.png
回复

使用道具 举报

 楼主| 发表于 2023-6-10 20:17:22 | 显示全部楼层
微信截图_20230610202128.png
微信截图_20230610202044.png
回复

使用道具 举报

 楼主| 发表于 2023-6-10 20:28:48 | 显示全部楼层
微信截图_20230610203258.png
回复

使用道具 举报

 楼主| 发表于 2023-6-10 20:47:42 | 显示全部楼层
牛志刚:通过现象,要思考它的底层逻辑,向深处去思考它的本质,神经调节,体液免疫,细胞免疫......
不能喜悦于“效果满意”,要知其然,知其所以然!
回复

使用道具 举报

 楼主| 发表于 2023-6-10 21:00:22 | 显示全部楼层
微信截图_20230610210434.png
回复

使用道具 举报

您需要登录后才可以回帖 登录 | 注册

本版积分规则

QQ|Archiver|手机版|小黑屋|中华手外科网 ( 鲁ICP备16039852号-3 )鲁公网安备 37010302000762号

GMT+8, 2025-11-10 18:53 , Processed in 0.021423 second(s), 6 queries , Redis On.

技术支持:山东济南

© 2001-2013 中华手外科网

快速回复 返回顶部 返回列表