找回密码
 注册

QQ登录

只需一步,快速开始

搜索
楼主: zhangwenlong

张文龙手外科学习笔记

  [复制链接]
 楼主| 发表于 2020-6-27 23:07:30 | 显示全部楼层
经过查阅资料
其中有乌龙成份
应该算是我的原创了
回复

使用道具 举报

 楼主| 发表于 2020-6-27 23:09:28 | 显示全部楼层
第六版格林手外科手术学中有这样一句话
1.png
微信图片_20200627230817.jpg 微信图片_20200627230823.png
回复

使用道具 举报

 楼主| 发表于 2020-6-27 23:10:23 | 显示全部楼层
作者想表达的意思应该是:外科手术的第一原则,是从正常结构开始探查。
回复

使用道具 举报

 楼主| 发表于 2020-6-27 23:11:48 | 显示全部楼层
而第六版格林手外科手术学翻译版是这样写的:
微信图片_20200627231049.png
微信图片_20200627231046.png
微信图片_20200627231042.png
回复

使用道具 举报

 楼主| 发表于 2020-6-27 23:13:00 | 显示全部楼层
明显和原意不符
原意是说手术中,应该从正常解剖结构开始
Surgical Technique
Specific aspects of surgical technique are learned from one's
teachers and may vary widely. Certain fundamental princi-
ples underlie all techniques,however. Perhaps the most
important of these is what I call"the number 1 rule of
surgery”-start in an area of normal anatomv. In trauma
and reconstructive surgery,the temptation is great for the
neophyte surgeon to begin the operation at the site of
maximal pathology,which is precisely where the anatomy
would be most distorted. Experienced surgeons virtually
always find appropriate virgin tissue planes in normal
anatomy and follow these to the site of injury or scarring.
Strict adherence to this rule saves the surgeon countless
hours of difficult and dangerous dissection.
回复

使用道具 举报

 楼主| 发表于 2020-6-28 12:49:38 | 显示全部楼层
细节决定成败
向高手学习
Screenshot_20200628_124525_com.tencent.mm.jpg
mmexport1593319486888.jpg
mmexport1593319478014.jpg
mmexport1593319499469.jpg
回复

使用道具 举报

 楼主| 发表于 2020-6-28 12:53:26 | 显示全部楼层
唐山市委书记张古江视察创伤外科研究所
mmexport1593319911983.jpg
mmexport1593319896719.jpg
mmexport1593319889137.jpg
mmexport1593319861404.jpg
回复

使用道具 举报

 楼主| 发表于 2020-6-28 13:03:11 | 显示全部楼层
回复

使用道具 举报

 楼主| 发表于 2020-6-28 13:03:43 | 显示全部楼层
黑暗的孔孟之乡
回复

使用道具 举报

 楼主| 发表于 2020-6-28 19:17:00 | 显示全部楼层
本帖最后由 zhangwenlong 于 2020-6-28 20:22 编辑

遵义股前外皮瓣
Screenshot_20200628_191425_com.tencent.mm.jpg
Screenshot_20200628_191916_com.tencent.mm.jpg
Screenshot_20200628_192023_com.tencent.mm.jpg
回复

使用道具 举报

 楼主| 发表于 2020-6-28 20:22:43 | 显示全部楼层
Screenshot_20200628_194537_com.tencent.mm.jpg
Screenshot_20200628_194522_com.tencent.mm.jpg
回复

使用道具 举报

 楼主| 发表于 2020-6-28 20:25:29 | 显示全部楼层
本帖最后由 zhangwenlong 于 2020-6-28 20:35 编辑

https://mp.weixin.qq.com/s/z9FSkbwtmj42Tum5FJub0g
唐山市委书记视察钟世镇院士工作站
Screenshot_20200628_202826_com.tencent.mm.jpg
Screenshot_20200628_202832_com.tencent.mm.jpg
Screenshot_20200628_202841_com.tencent.mm.jpg
回复

使用道具 举报

 楼主| 发表于 2020-6-29 16:33:03 | 显示全部楼层
mmexport1593419285731.jpg
回复

使用道具 举报

 楼主| 发表于 2020-6-29 16:34:30 | 显示全部楼层
回复

使用道具 举报

 楼主| 发表于 2020-6-30 22:47:43 | 显示全部楼层
第一跖趾关节周围6条肌腱,跖骨头无肌腱附着
这些结构就像一个吊篮,控制着跖骨头
跖骨头易受到外力影响发生移位,破坏吊篮平衡
IMG_20200630_224709.jpg
回复

使用道具 举报

 楼主| 发表于 2020-6-30 23:10:11 | 显示全部楼层
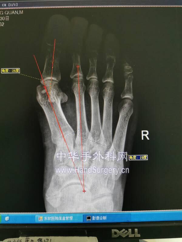
拇外翻角HAA15-20
第一跖骨间角IMA<10

IMG_20200630_155246.jpg
回复

使用道具 举报

 楼主| 发表于 2020-7-3 20:35:41 | 显示全部楼层
SCI投稿指南
mmexport1593779722430.jpg
IMG_20200703_154327.jpg
IMG_20200703_154318.jpg
IMG_20200703_160157.jpg
回复

使用道具 举报

 楼主| 发表于 2020-7-4 23:50:21 | 显示全部楼层
congratulated
mmexport1593877427480.jpg
回复

使用道具 举报

 楼主| 发表于 2020-7-5 13:44:18 | 显示全部楼层
今天上午收获的宝贝
工欲善其事
必先利其器
IMG_20200705_103452_1.jpg
回复

使用道具 举报

 楼主| 发表于 2020-7-5 13:44:48 | 显示全部楼层
IMG_20200705_123036.jpg
回复

使用道具 举报

您需要登录后才可以回帖 登录 | 注册

本版积分规则

QQ|Archiver|手机版|小黑屋|中华手外科网 ( 鲁ICP备16039852号-3 )鲁公网安备 37010302000762号

GMT+8, 2025-10-7 12:59 , Processed in 0.027804 second(s), 5 queries , Redis On.

技术支持:山东济南

© 2001-2013 中华手外科网

快速回复 返回顶部 返回列表