找回密码
 注册

QQ登录

只需一步,快速开始

搜索
楼主: zhangwenlong

张文龙手外科学习笔记

  [复制链接]
 楼主| 发表于 2015-8-8 21:37:35 | 显示全部楼层
取内固定必备神器
当螺钉尾帽滑扣时
螺丝刀不能用时
超好使
1.jpg
回复

使用道具 举报

 楼主| 发表于 2015-8-8 22:41:39 | 显示全部楼层
院徽
75685cce-cf04-4fe7-8c5e-fa1da7905912.jpg

院训:求真,敬业,博爱,创新
回复

使用道具 举报

 楼主| 发表于 2015-8-9 13:37:15 | 显示全部楼层
钟院士
谈显微外科发展时
提到我院临床解剖室
3.JPG
1.JPG
2.JPG
回复

使用道具 举报

 楼主| 发表于 2015-8-9 13:40:29 | 显示全部楼层
莫大的鼓舞和鞭策
必须继续努力
做好临床解剖工作
回复

使用道具 举报

 楼主| 发表于 2015-8-10 07:41:31 | 显示全部楼层
2015-9-11
湖南长沙
显微外科青年论文竞赛
一共20名入围
高手济济
现在就开始做ppt
争取不枉此行
回复

使用道具 举报

 楼主| 发表于 2015-8-15 23:43:13 | 显示全部楼层
最近有些懒惰了
有2个月没有写文章了
而且今年发表的几篇文章比去年质量有所下降

回复

使用道具 举报

 楼主| 发表于 2015-8-15 23:44:44 | 显示全部楼层
日事日毕
日志日高
回复

使用道具 举报

 楼主| 发表于 2015-8-15 23:46:52 | 显示全部楼层
外科第一原则:熟悉正常解剖
下周三8月19日下午15:00-18:00
唐山二院临床解剖实验室
内容:拇外翻相关解剖
回复

使用道具 举报

 楼主| 发表于 2015-8-15 23:56:09 | 显示全部楼层
参与侯春林教授编写的《显微外科疑难病例精编》
提供一例组织块再植病例
今天联系到患者来随访拍照
时间过得好快,已经术后1.5年了

1.jpg
2.jpg
3.jpg
4.jpg
回复

使用道具 举报

 楼主| 发表于 2015-8-15 23:58:33 | 显示全部楼层
5.jpg


6.jpg
7.jpg
8.jpg
回复 2 0

使用道具 举报

 楼主| 发表于 2015-8-16 00:11:30 | 显示全部楼层
本帖最后由 zhangwenlong 于 2015-8-16 00:19 编辑

昨天下午积水潭医院骨肿瘤科牛晓辉教授讲课
通过学习,明白了骨肿瘤疾病的诊治包括4个方面
诊断:1什么肿瘤(细胞学水平);2肿瘤的范围
治疗:1彻底切除 ;2功能重建
评价治疗效果:首先是不复发,其次才是功能

image.jpg

image.jpg

image.jpg

image.jpg

image.jpg

回复

使用道具 举报

 楼主| 发表于 2015-8-16 00:19:03 | 显示全部楼层
周三业务学习
臂丛神经不经常用就会忘记
image_jpg_thumb.jpg
回复

使用道具 举报

 楼主| 发表于 2015-8-16 00:53:02 | 显示全部楼层
拇外翻的病因:
遗传、性别、生活习惯、关节疾病等因素

拇外翻病理改变:
病变发生在第一跖趾关节
第一跖骨内翻,跖骨头向内移位,而籽骨在拇收肌、拇短屈肌和跖横韧带等结构的牵拉下维持原位,籽骨相对于跖骨头向外发生移动,跖骨头跖侧骨嵴被磨平籽骨失去了跖趾关节在屈伸中的滑车作用,籽骨的外移将会牵拉拇趾近节趾骨发生旋转。
回复

使用道具 举报

 楼主| 发表于 2015-8-16 19:41:07 | 显示全部楼层
1.jpg
2.jpg
回复

使用道具 举报

 楼主| 发表于 2015-8-16 20:05:06 | 显示全部楼层
本帖最后由 zhangwenlong 于 2015-8-16 20:07 编辑

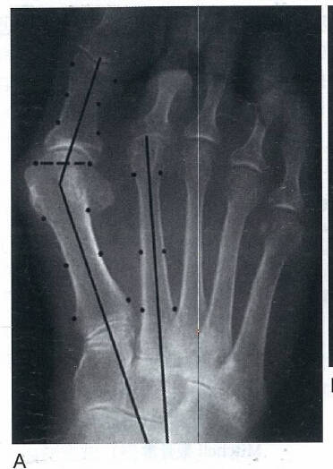
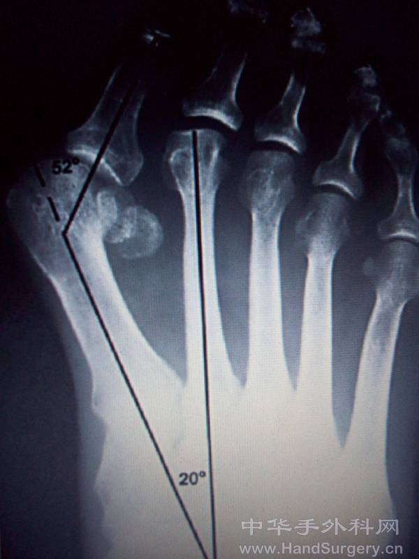
其他两个涉及第一跖趾关节的解剖学改变也可以引起拇外翻
第一个改变为跖骨头关节面偏斜,其偏斜的角度被称为跖骨远端关节固角(DMAA)
2.jpg   
1.jpg
第二个改变为趾近节趾骨基底的关节角相对于其纵轴出现偏斜,其偏斜角度被称为趾骨近端关节固角(PAA)


回复

使用道具 举报

 楼主| 发表于 2015-8-16 20:11:55 | 显示全部楼层
积水潭医院牛晓辉教授讲课
随访病例图片的背景一致
均为绿色背景
不是PS的
而是统一的拍摄环境
细节决定成败
回复

使用道具 举报

 楼主| 发表于 2015-8-16 22:28:43 | 显示全部楼层
明天上午一台桡骨远端粉碎骨折患者
压缩塌陷明显
估计是要植骨了
1.png
2.png
3.png
回复

使用道具 举报

发表于 2015-8-17 10:46:48 | 显示全部楼层
龙哥精益求精!
回复

使用道具 举报

 楼主| 发表于 2015-8-18 21:38:27 | 显示全部楼层
关于拇外翻的根本病变,是第一跖骨内翻还是拇趾外翻这一问题一直存在争议
大多数患者拇趾外偏是始发畸形的证据最有力

穿鞋是否在拇外翻的发生中起主要作用也同样存在争议
回复

使用道具 举报

发表于 2015-8-19 17:02:45 | 显示全部楼层
加油。
不过也不必有压力。
有空的时候写就可以了。
“穿鞋是否在拇外翻的发生中起主要作用也同样存在争议”? 这个争议具体一点是什么?
回复

使用道具 举报

您需要登录后才可以回帖 登录 | 注册

本版积分规则

QQ|Archiver|手机版|小黑屋|中华手外科网 ( 鲁ICP备16039852号-3 )鲁公网安备 37010302000762号

GMT+8, 2025-10-4 04:46 , Processed in 0.027775 second(s), 5 queries , Redis On.

技术支持:山东济南

© 2001-2013 中华手外科网

快速回复 返回顶部 返回列表