找回密码
 注册

QQ登录

只需一步,快速开始

搜索
楼主: 萱草

萱草学习笔记

[复制链接]
 楼主| 发表于 2022-8-7 21:25:35 | 显示全部楼层
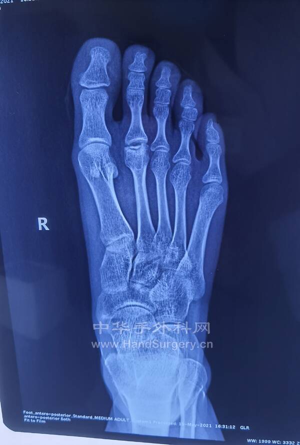
跟距骨桥,拇外翻患者行距下关节融合术,拇外翻矫形术后8周复查,
IMG_20220807_095150.jpg
IMG_20220807_084906.jpg
IMG_20220807_095200.jpg
回复

使用道具 举报

 楼主| 发表于 2022-8-11 20:46:20 | 显示全部楼层
本帖最后由 萱草 于 2022-8-12 06:09 编辑

今日参观刘培亭主任手术2台,甲母痣切除和腕管综合征松解术,觉得省立医院的老师们都是实力派!
回复

使用道具 举报

 楼主| 发表于 2022-8-11 20:55:32 | 显示全部楼层
1.喧嚣的省立医院中心院区门诊2.老师做的拇外翻患者术后5周复查
3.外院手术治疗1.5个月的患者,患者非常年轻!
IMG_20220808_084159.jpg
IMG_20220808_093706.jpg
IMG_20220808_093721.jpg
IMG_20220808_084205.jpg
IMG_20220808_154944.jpg
IMG_20220808_155007.jpg
IMG_20220808_155046.jpg
IMG_20220808_155051.jpg
IMG_20220808_155211.jpg
IMG_20220808_155023.jpg
回复

使用道具 举报

 楼主| 发表于 2022-8-11 21:10:33 | 显示全部楼层
从上周开始,老师减少了手术量,但有一个双侧马蹄内翻足的患者术后近一个月,不明原因的持续性疼痛,不眠不休,即使去除外固定架也不能缓解,只有地佐辛可以缓解疼痛,每天要打2-3次,多学科会诊也没有查明病因,今天老师又带他到中心院区会诊,疼痛科建议“鸡尾酒疗法”,看是否有疗效?
Screenshot_20220811_165604_com.allin.social.jpg
Screenshot_20220811_170850_com.allin.social.jpg
Screenshot_20220811_170827_com.allin.social.jpg
Screenshot_20220811_170749_com.allin.social.jpg
Screenshot_20220811_170737_com.allin.social.jpg
回复

使用道具 举报

 楼主| 发表于 2022-8-11 21:13:38 | 显示全部楼层
本帖最后由 萱草 于 2022-8-12 05:33 编辑

参观官主任手术一台,关主任手法清灵飘逸,微创理念上乘,看他的手术是一种享受!
左足小趾多趾畸形切除修整术
设计“V”字形切口,逐层显露,切至跖趾关节,保留小趾伸屈肌腱,显露跖骨头,斜行切除,打磨断面至光滑,闭合关节囊,逐层缝合(4-0),修整皮缘至完美对合,松止血带,彻底止血后,缝合伤口!

回复

使用道具 举报

 楼主| 发表于 2022-8-13 19:53:43 | 显示全部楼层
术后一直持续性疼痛的小患者经过多学科会诊,鸡尾酒疗法注射,针灸后仍无明显好转,今日又将跟骨内固定克氏针去除,继续进一步行CT和MR检查,期待检查结果!
回复

使用道具 举报

 楼主| 发表于 2022-8-13 20:03:14 | 显示全部楼层
今日参与手术2台:
1.左踝关节前踝撞击症行关节清理术,取前踝正中切口,长约3cm,逐层显露骨赘,完整切除,修整关节面。
2.右跟骨闭合骨折切开复位钛板内固定术:取足跟外侧改良L形切口,逐层切开显露,剥离骨膜,显露骨折端,见距下关节变形,恢复跟骨高度,宽度及距下关节面,术中拍片示贝氏角,关节面角至正常范围,放置跟骨钛板1枚及螺钉9枚,逐层闭合切口,放置引流条2枚。
回复

使用道具 举报

 楼主| 发表于 2022-8-13 20:06:11 | 显示全部楼层
省立医院手足外科的名气有多大?今天在手术室听说福建新生儿双胞胎,全程高铁护送到中心院区,不知谁有幸参观了如此高难度的手术?
回复

使用道具 举报

 楼主| 发表于 2022-8-13 20:10:38 | 显示全部楼层
接下来的日子,不知是否有幸参观老师做青少年扁平足(10-14岁)的微创手术治疗?
IMG_20220813_200818.jpg
IMG_20220813_200826.jpg
回复

使用道具 举报

 楼主| 发表于 2022-8-13 23:32:23 | 显示全部楼层
今天老师在台上说了这样一句话:最高明的医生不是知道手术怎么做,而是知道手术做到什么程度应该停止!
获益匪浅!
IMG_20220809_075902.jpg
回复

使用道具 举报

 楼主| 发表于 2022-8-15 18:37:13 | 显示全部楼层
萱草 发表于 2022-6-28 23:58
1.患者18岁男性,脑瘫后遗症,初步诊断:高弓足,扬趾畸形。主要症状为跑步时易摔倒,无法下蹲和跳跃。查体 ...

术后4周复查的情况
IMG_20220731_144502.jpg
IMG_20220731_144508.jpg
回复

使用道具 举报

 楼主| 发表于 2022-8-15 18:38:25 | 显示全部楼层
萱草 发表于 2022-6-28 23:58
1.患者18岁男性,脑瘫后遗症,初步诊断:高弓足,扬趾畸形。主要症状为跑步时易摔倒,无法下蹲和跳跃。查体 ...

今日术后6周,行外固定架去除术
回复

使用道具 举报

 楼主| 发表于 2022-8-15 18:39:51 | 显示全部楼层
萱草 发表于 2022-6-29 00:08
患者男性39岁。左足内翻畸形,距下关节脱位、脊柱侧弯十余年。拟手术方案:
1.跟腱延长术
2.跖筋膜松解术

术后4周情况
IMG_20220807_104924.jpg
IMG_20220807_104928.jpg
IMG_20220807_104935.jpg
回复

使用道具 举报

 楼主| 发表于 2022-8-15 18:43:42 | 显示全部楼层
本帖最后由 萱草 于 2022-8-15 20:59 编辑

今日门诊一对遗传性痉挛性截瘫的父子,父亲的今天是儿子的明天!(祖孙三代长染色体显性遗传)(奶奶~父亲~儿子),纵是阅患无数的老师,也不敢轻易决定是否手术!

遗传性痉挛性截瘫又称Strμmpell-Lorrain病,是以双下肢进行性肌张力增高、肌无力和剪刀步态为特征的综合征。本病没有特殊的针对病因的治疗方法,主要是对症治疗,主要包括支持治疗、药物治疗、物理治疗、手术治疗、心理治疗等方法。

1、支持治疗:日常应注意多摄入优质蛋白质食物、高纤维素食物,多饮水,营养应均衡,以便于机体获得充足营养;

2、药物治疗:临床遵医嘱可用解痉类药物进行治疗,如巴氯芬片、地西泮片等,能有效缓解遗传性痉挛性截瘫引起的肌肉僵硬和疼痛,在用药时患者可能出现嗜睡、恶心等症状,服用药物时谨遵医嘱。也可以遵医嘱盐酸乙哌立松片,具有松弛肌肉、扩张血管、改善肌肉紧张、增加血流供应的作用,能有效缓解遗传性痉挛性截瘫引起的肌肉僵硬和疼痛;

3、物理治疗:可以在专业医师的指导下进行运动、按摩等治疗,能够缓解肌肉的萎缩,提高耐力,减轻疲劳,防止抽筋,保持肌肉和关节的活力;

4、手术治疗:遗传性痉挛性截瘫如果起病于儿童时期,可出现弓形足、短足畸形、腓肠肌绷紧等病变,因此必要时可通过手术方式矫正;

5、心理治疗:由于疾病长期存在,会给患者带来巨大痛苦,患者可出现自暴自弃的心理,暴躁易怒的情况,家人应给予足够的耐心和陪伴,必要时应入院进行心理辅导。
IMG_20220814_161629.jpg
IMG_20220814_162552_edit_265254955196503_compress.jpg
回复

使用道具 举报

 楼主| 发表于 2022-8-15 18:45:24 | 显示全部楼层
本帖最后由 萱草 于 2022-8-15 19:41 编辑

距骨软骨囊性变术式如何选择?
第一种:距骨微骨折技术,费用大约两万左右。
第二种:距骨软骨移植术。将内踝打断掀开。用专用距骨移植器,将损伤部位残留距骨去除,在术前设定的部位取距骨,将距骨移植到损伤部位。内踝用两枚螺钉固定术后制动2~3个月,费用大约四万左右。
建议选择第2种术式治疗。
回复

使用道具 举报

 楼主| 发表于 2022-8-15 19:00:38 | 显示全部楼层
跟腱炎做跟腱牵拉练习的方法(视频)
回复

使用道具 举报

 楼主| 发表于 2022-8-15 19:04:34 | 显示全部楼层
本帖最后由 萱草 于 2022-8-16 22:54 编辑

Freiberg病手术如何治疗?(老师画的图)

马蹄内翻足术后6周复查,外观满意,已可自行行走!
IMG_20220815_161023.jpg
IMG_20220815_153746.jpg
IMG_20220815_153527.jpg
IMG_20220815_110735_compress.jpg
IMG_20220815_110730_compress.jpg
回复

使用道具 举报

 楼主| 发表于 2022-8-15 19:05:15 | 显示全部楼层
踝关节韧带损伤本体功能练习操(视频 )
回复

使用道具 举报

 楼主| 发表于 2022-8-15 19:06:23 | 显示全部楼层
腕管综合征微创松解手术如何做?
回复

使用道具 举报

 楼主| 发表于 2022-8-16 22:42:59 | 显示全部楼层
今日参观王德华主任手术2台:
王主任手术有如将军作战:杀伐决断,沉稳果敢,干净利落,令人心生敬佩!

第1台:左拇趾甲下骨疣:用驱血止血弹性束紧套环加压止血,将趾甲用神经剥离子去除,将甲根处皮肤切开约0.5cm,显露病灶,将骨疣连同甲床全部切除,保留甲床约3mm,将油纱去除大部分油脂,叠成三角形填满甲床,无菌辅料加压包扎。(病灶端可慢慢爬满肉芽,趾甲亦可慢慢长出,约3-4周)
IMG_20220816_101721.jpg
IMG_20220816_101413.jpg
IMG_20220816_104439_edit_328747075008169.jpg
回复

使用道具 举报

您需要登录后才可以回帖 登录 | 注册

本版积分规则

QQ|Archiver|手机版|小黑屋|中华手外科网 ( 鲁ICP备16039852号-3 )鲁公网安备 37010302000762号

GMT+8, 2025-10-24 01:30 , Processed in 0.010730 second(s), 3 queries , Redis On.

技术支持:山东济南

© 2001-2013 中华手外科网

快速回复 返回顶部 返回列表