找回密码
 注册

QQ登录

只需一步,快速开始

搜索
楼主: zhangwenlong

张文龙手外科学习笔记

  [复制链接]
 楼主| 发表于 2012-7-19 13:12:58 | 显示全部楼层
本帖最后由 zhangwenlong 于 2012-7-19 14:47 编辑

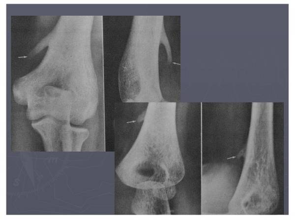
腓肠肌籽骨和这个vesalius骨不会混淆吧
而腓肠肌籽骨位于腓肠肌外侧头里,距腓骨小头约14mm处,起点附近
国内,申菏勤于1996年在中国临床解剖学杂志曾报道,解剖68具标本,出现率30%左右。
椭圆形扁平状多见,松质骨为主,骨膜不明显。
临床是经常见的
7.jpg
回复

使用道具 举报

 楼主| 发表于 2012-7-19 13:32:42 | 显示全部楼层
本帖最后由 zhangwenlong 于 2012-7-19 14:42 编辑

vesalius骨和腓骨长肌骨倒是有点容易混淆。
腓骨长肌籽骨也有叫腓籽(子)骨的,是指在腓骨长肌腱径路上出现的副骨。
回复

使用道具 举报

 楼主| 发表于 2012-7-19 15:06:42 | 显示全部楼层
其实只是个名字叫法不同而已
这些籽骨多数是由于应该融合的两个骨化中心未按时融合为一块骨而形成的
在足部发生率最高,如副舟骨、距上骨、胫下骨腓小骨等
回复

使用道具 举报

 楼主| 发表于 2012-7-19 15:49:05 | 显示全部楼层
也有未经软骨阶段而由结缔组织成骨形成的副骨。
回复

使用道具 举报

 楼主| 发表于 2012-7-19 21:03:34 | 显示全部楼层
本帖最后由 zhangwenlong 于 2012-7-19 21:07 编辑

常见异常副骨或籽骨
9.jpg
8.jpg
7.jpg
6.jpg
5.jpg
4.jpg
3.jpg
1.jpg
2.jpg
11.jpg
12.jpg
回复 1 0

使用道具 举报

 楼主| 发表于 2012-7-19 22:37:01 | 显示全部楼层
手机的三大功能:接打电话、收发短信和开关闹钟。
都用上才不浪费资源
回复

使用道具 举报

 楼主| 发表于 2012-7-19 22:48:44 | 显示全部楼层
好脑筋不如烂笔记
今天又提到有髓和无髓神经
一翻笔记就明白了
回复

使用道具 举报

 楼主| 发表于 2012-7-19 23:17:31 | 显示全部楼层
谁知道这是什么核?
1.jpg
回复

使用道具 举报

 楼主| 发表于 2012-7-19 23:21:26 | 显示全部楼层
薯条店,这么火,放假期间还这么多人光顾
经营有方
不需要很大的店面
很多年以前,也想经营个这样的店面
向吸吸吧一样的
2.jpg
1.jpg
回复

使用道具 举报

发表于 2012-7-19 23:24:14 | 显示全部楼层
zhangwenlong 发表于 2012-7-15 00:04
任何组织的修复都不能在张力下修复
血管吻合张力过大容易漏血、断裂、栓塞
缝合皮肤张力过大影响愈合,甚至 ...

植皮可以
回复

使用道具 举报

 楼主| 发表于 2012-7-19 23:28:10 | 显示全部楼层
做个牌子美国来的hosei。
hosei是美国亚利桑纳州人
亚利桑那州 (Arizona --AZ) 是
美国西南部4个州之一,是第48个加入美国联邦的州。因为与墨西哥毗邻,就和中国的东北延边地区朝鲜族多一样
hosei是墨西哥裔美国人。
母语是英语
但汉语和西班牙语都非常棒
是个语言天才
因为在美国到医院看病,认识了给他看病的邹医生。他听邹医生讲在中国有一个他的老师医术很厉害,并且想练英语口语,正好hosei想对很喜欢汉语和中国文化,对手外科也很感兴趣,于是就向学校请假来中国找王老师了。

1.jpg
回复

使用道具 举报

 楼主| 发表于 2012-7-19 23:29:27 | 显示全部楼层
原来大家都用粉色纸做接站牌
不谋而合
2.jpg
回复

使用道具 举报

 楼主| 发表于 2012-7-19 23:30:52 | 显示全部楼层
本帖最后由 zhangwenlong 于 2012-7-24 19:37 编辑

买了鲜花迎接hosei
呵呵,不是送我的!
1.jpg

2.jpg


3.jpg

1.jpg
回复

使用道具 举报

 楼主| 发表于 2012-7-19 23:33:20 | 显示全部楼层
请hosei吃地道的鲁菜
鲁西南老牌坊
51.jpg
4.jpg
3.jpg
2.jpg
1.jpg
回复

使用道具 举报

 楼主| 发表于 2012-7-19 23:39:06 | 显示全部楼层
hosei喜欢中国文化
筷子用的很好
喜欢拍照,发facebook
QQ截图20120719234027.jpg
51.jpg
3.jpg
2.jpg
1.jpg
回复

使用道具 举报

 楼主| 发表于 2012-7-19 23:41:50 | 显示全部楼层
本帖最后由 zhangwenlong 于 2012-7-19 23:42 编辑

显微外科解剖图谱第二版修稿正式启动
昨天修改了54页
今天是第二次会议了
中午,照例是工作餐——开封菜
hosei也参加了修改会
11.jpg
10.jpg
9.jpg
8.jpg
7.jpg
6.jpg
5.jpg
回复

使用道具 举报

 楼主| 发表于 2012-7-19 23:46:19 | 显示全部楼层
明天要开车去东营
据说有300多公里
开车要4个小时
带上显微外科解剖图谱的书稿
路上继续工作

明天早上要先去研究所拿书稿
然后加满油
7点准时出发
为了大家的安全
今天要早点休息了
回复

使用道具 举报

发表于 2012-7-20 13:27:59 | 显示全部楼层
真羡慕张师兄,能够全身心的投入到学术研究当中,不想我在民营医院,只要结果不好,不管什么原因病人就抓住不放,除了给病人治病之外,还提心吊胆的。我们做医生也想每个病人都恢复的很好。
回复

使用道具 举报

发表于 2012-7-20 16:09:38 | 显示全部楼层
zhangwenlong 发表于 2012-7-19 21:03
常见异常副骨或籽骨

谢谢张老师的讲解。非常丰富。一张X线片上显示骰骨外侧籽骨,和同事争论到底是维扎里骨还是腓骨肌籽骨,但可查的资料太少了,所以求助于张老师。给你添麻烦了,再次感谢。
回复

使用道具 举报

 楼主| 发表于 2012-7-20 23:19:12 | 显示全部楼层
红色背景
拍的照片可以上淘宝货架
5.jpg
4.jpg
回复

使用道具 举报

您需要登录后才可以回帖 登录 | 注册

本版积分规则

QQ|Archiver|手机版|小黑屋|中华手外科网 ( 鲁ICP备16039852号-3 )鲁公网安备 37010302000762号

GMT+8, 2025-11-17 22:15 , Processed in 0.025789 second(s), 6 queries , Redis On.

技术支持:山东济南

© 2001-2013 中华手外科网

快速回复 返回顶部 返回列表