找回密码
 注册

QQ登录

只需一步,快速开始

搜索
楼主: zhangwenlong

张文龙手外科学习笔记

  [复制链接]
 楼主| 发表于 2012-7-16 23:05:51 | 显示全部楼层
本帖最后由 zhangwenlong 于 2012-7-16 23:18 编辑

会诊回来的教诲:
1.jpg
2.jpg
3.jpg
4.jpg
回复

使用道具 举报

 楼主| 发表于 2012-7-16 23:34:11 | 显示全部楼层
手术野很干净,照片照的很清楚
1.jpg
2.jpg
3.jpg
5.jpg
6.jpg
回复

使用道具 举报

 楼主| 发表于 2012-7-16 23:37:32 | 显示全部楼层
图片很清楚
手术很精彩
1.jpg
2.jpg
3.jpg
回复

使用道具 举报

 楼主| 发表于 2012-7-17 00:02:58 | 显示全部楼层
本帖最后由 zhangwenlong 于 2012-7-17 00:03 编辑

今天两件事受到批评
一是带一个拇指伸直受限的病人做彩超,未发现病变,没有认真分析病变应该在哪。有时认真和不认真就差一步远。
二是写的一篇论文,从形式到内容,都存在很大问题。用老师的话说,无知者无畏了。
虽然抗打击能力自认为很强,但也不能白挨打击啊。
以后不会给机会了!!
回复

使用道具 举报

 楼主| 发表于 2012-7-17 00:06:43 | 显示全部楼层
明天去机场接外教
回复

使用道具 举报

发表于 2012-7-17 15:47:41 | 显示全部楼层
zhangwenlong 发表于 2012-7-16 19:58
可以邮购,150元一本,加30元的邮费。
原价190元。
可以把书款直接存到学习班的建行卡上

我不是学习班的,没建行卡,可以给我地址汇款吗?
回复

使用道具 举报

发表于 2012-7-17 19:31:51 | 显示全部楼层
zhangwenlong 发表于 2012-3-31 13:49
手术室的脚凳,四个侧面的都有这样两个东东。
大家都不知是什么作用。
谁知道? ...

是不是可以插个板子防止踩空啊?求正解。

点评

呵呵,不是的。后边的帖子里有答案。  发表于 2012-7-17 23:31
回复

使用道具 举报

发表于 2012-7-17 19:33:56 | 显示全部楼层
zhangwenlong 发表于 2012-4-1 00:09
4月26号考职称计算机A级。
键盘、光笔、绘图仪、触摸屏中不属于输入设备的是: ...

绘图仪是正解

点评

看来你职称计算机没问题啦  发表于 2012-7-17 23:51
回复

使用道具 举报

 楼主| 发表于 2012-7-17 20:05:13 | 显示全部楼层
本帖最后由 zhangwenlong 于 2012-7-17 20:37 编辑
持刀 发表于 2012-7-17 15:47
我不是学习班的,没建行卡,可以给我地址汇款吗?


哈哈
不是存到你的建行卡里
是存的我的建行卡里,在学习班开始招生的帖子里有卡号。

回复

使用道具 举报

 楼主| 发表于 2012-7-17 20:36:22 | 显示全部楼层
本帖最后由 zhangwenlong 于 2012-7-17 20:38 编辑

这个周一又有几个先天畸形和需要再造的病人来诊。
由于床位紧张,一个也没有住上院。
尤其,有一个唐山的老乡,带着他们9岁的儿子来看病,小孩很聪明,也很懂事。

刚才在水房洗了两件衣服,能够两只手搓、揉、拧、抖。
突然就想起那些手畸形的或只有一只健全的手的孩子或大人。

庆幸我们有健康的身体吧
庆幸我们有健全的四肢吧
庆幸我们有完美的十指吧

也祝愿那些身残的人能够志坚
也祝福他们能够过得幸福、快乐......

回复 1 0

使用道具 举报

发表于 2012-7-17 20:53:35 | 显示全部楼层
zhangwenlong 发表于 2012-5-6 00:38
断章取义了,赶紧补上。

竟然还有我的图片,谢谢老师的肯定。
回复

使用道具 举报

发表于 2012-7-17 20:55:10 | 显示全部楼层
zhangwenlong 发表于 2012-5-6 23:08
听广播提到仲夏
孟、仲、季指代第一、第二、第三;或者也有用伯、仲、叔的。
所以,仲即为第二的意思,而仲 ...

应该是伯仲叔季表1234吧

点评

季是表示最小的一个。如果四个,应该是伯仲叔季或孟仲叔季。  发表于 2012-7-17 23:29
回复

使用道具 举报

发表于 2012-7-17 21:14:00 | 显示全部楼层
zhangwenlong 发表于 2012-5-18 17:04
解剖需要专注。

我很好奇你们的尸源啊?在哪买的啊?而且是谁在卖,他们是怎么得来的啊?价钱呢?同时表示对死者的尊敬与感谢。
回复

使用道具 举报

发表于 2012-7-17 21:16:03 | 显示全部楼层
zhangwenlong 发表于 2012-5-20 23:34
上次夜班做的一个急诊。
原来留资料没有这么详细、清楚、系统过。
不管从硬件,还是理念。

为什么把拇指全部都包起来了啊?不用观察血运吗?
回复

使用道具 举报

 楼主| 发表于 2012-7-17 23:41:02 | 显示全部楼层
本帖最后由 zhangwenlong 于 2012-7-18 10:51 编辑
慈航远渡 发表于 2012-7-17 21:16
为什么把拇指全部都包起来了啊?不用观察血运吗?

是的,为了安全,应该露出来。
回复

使用道具 举报

发表于 2012-7-17 23:48:37 | 显示全部楼层
慈航远渡 发表于 2012-7-17 19:31
是不是可以插个板子防止踩空啊?求正解。

已经看到了。
回复

使用道具 举报

发表于 2012-7-18 13:50:32 | 显示全部楼层
zhangwenlong 发表于 2012-7-16 23:37
图片很清楚
手术很精彩

太漂亮了,一定要向你们学习!!!
回复

使用道具 举报

发表于 2012-7-19 09:13:10 | 显示全部楼层
佩服张老师的博学和认真。有一个问题想请您帮忙查一下资料。我最近看到“腓肠肌籽骨”和“维扎里骨”的介绍,但是都很简单和模糊,我是越看越糊涂了。我这里是基层医院,可用的书籍非常少,万方医学网上也很少有介绍,能否给我详细讲解一下,特别是X线片上两者的区别。
回复

使用道具 举报

 楼主| 发表于 2012-7-19 12:56:06 | 显示全部楼层
Andreas Vesalius 1514-1564 比利时解剖学家。
出版了《解剖学》,现代人体解剖学的奠基人。
发现锤骨和砧骨。
1543年最早认识椎间盘。
1543年,Andreas Vesalius 首先清晰辨认出腕骨解剖,并绘图于其编撰的书中。

回复

使用道具 举报

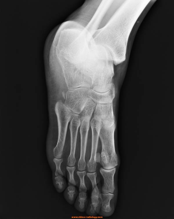
 楼主| 发表于 2012-7-19 13:04:56 | 显示全部楼层
本帖最后由 zhangwenlong 于 2012-7-19 14:56 编辑

维扎里骨是位于腓骨短肌止点的籽骨
vesalius首先发现(1543年)
同年,他也描述了位于第5掌骨与钩骨之间的籽骨,也叫维扎里籽骨,1870年才由Gruber再次报道,其出现率在0.1%。
1.jpg
2.jpg
回复

使用道具 举报

您需要登录后才可以回帖 登录 | 注册

本版积分规则

QQ|Archiver|手机版|小黑屋|中华手外科网 ( 鲁ICP备16039852号-3 )鲁公网安备 37010302000762号

GMT+8, 2025-11-18 00:47 , Processed in 0.027086 second(s), 6 queries , Redis On.

技术支持:山东济南

© 2001-2013 中华手外科网

快速回复 返回顶部 返回列表