找回密码
 注册

QQ登录

只需一步,快速开始

搜索
楼主: zhangwenlong

张文龙手外科学习笔记

  [复制链接]
 楼主| 发表于 2023-9-29 00:32:48 | 显示全部楼层
背景墙
微信图片_20230928234229.jpg
微信截图_20230929003305.jpg
回复

使用道具 举报

 楼主| 发表于 2023-9-29 00:36:35 | 显示全部楼层
下载.jpg
回复

使用道具 举报

 楼主| 发表于 2023-9-29 08:57:36 | 显示全部楼层
本帖最后由 zhangwenlong 于 2023-10-3 21:35 编辑

最近帮足踝外科做了几个创面修复
微信截图_20230929085627.png
微信截图_20230929085644.png
微信截图_20230929085752.png
微信图片_20231003213627.png
回复

使用道具 举报

 楼主| 发表于 2023-9-29 08:59:36 | 显示全部楼层
本帖最后由 zhangwenlong 于 2023-9-29 21:52 编辑

清创抗菌素骨水泥填塞,腓动脉穿支螺旋桨皮瓣修复跟外侧感染创面
体会:
皮瓣设计时,由于穿支裸化技术不一定适合所有病例
蒂部还是应该适当延长1-2cm
以减小皮瓣转移后张力
另外皮瓣设计时,皮瓣远端应该再放大2cm
由于远端呈梭形,供区可以直接闭合
皮瓣过大了可以切除远端,用于供区中间植皮

回复

使用道具 举报

 楼主| 发表于 2023-9-29 09:00:22 | 显示全部楼层
胫后动脉穿支皮瓣修复胫前感染创面
微信截图_20230929085914.png
微信截图_20230929085936.png
回复

使用道具 举报

 楼主| 发表于 2023-9-29 09:03:39 | 显示全部楼层
本帖最后由 zhangwenlong 于 2023-10-3 21:33 编辑

皮瓣设计:
以胫后动脉穿支为旋转点
携带筋膜瓣填充创面内胫骨缺损
微信截图_20230929090253.png
体会:
筋膜瓣设计的应该尽量长一些
窄一些,筋膜血供没有问题
因为填塞的时候
与皮瓣相连的部位较厚
转折后会消耗一部分长度

微信截图_20231003213415.png

回复

使用道具 举报

 楼主| 发表于 2023-9-29 09:07:52 | 显示全部楼层
本帖最后由 zhangwenlong 于 2023-10-4 00:07 编辑

手部皮肤缺损肌腱坏死骨外露
微信截图_20230929090702.png
彻底清创
微信截图_20230929090821.png
锐性清创很重要,做成切割伤口,去除所有感染坏死组织
回复

使用道具 举报

 楼主| 发表于 2023-9-29 09:10:40 | 显示全部楼层
本帖最后由 zhangwenlong 于 2023-9-29 21:52 编辑

体会:
彻底清创后,敷料加压包扎,送止血带,切取皮瓣
因为皮瓣转移覆盖创面时,创面皮缘需要游离松解,与皮瓣边缘更好对合
送止血带后,游离皮缘出血多,再次压迫止血耽误时间
所以,清创后,游离皮缘,再送止血带压迫止血,再切取皮瓣!!!
回复

使用道具 举报

 楼主| 发表于 2023-9-29 09:12:21 | 显示全部楼层
本帖最后由 zhangwenlong 于 2023-10-3 21:38 编辑

应用旋髂浅动脉皮瓣游离移植
受区用桡动脉及头静脉
微信截图_20231003213809.png
回复

使用道具 举报

 楼主| 发表于 2023-9-29 09:16:48 | 显示全部楼层
患者示指近节掌侧皮肤缺损屈指肌腱外露,双侧神经血管缺损
患者二尖瓣置换术后,长期口服抗凝药物,凝血系列检查异常
麻醉师建议局麻下手术
微信截图_20230929091553.png
回复

使用道具 举报

 楼主| 发表于 2023-9-29 09:17:57 | 显示全部楼层
应用神经阻滞麻醉:
腕管近端正中神经阻滞
肘管尺神经阻滞
桡骨茎突近端桡神经浅支阻滞
术中效果满意
设计第二掌背动脉逆行岛状皮瓣转移
14.png
回复

使用道具 举报

 楼主| 发表于 2023-9-29 09:19:38 | 显示全部楼层
本帖最后由 zhangwenlong 于 2023-10-3 21:41 编辑

皮瓣经皮下隧道转移至受区
由于患者伤后20天,手背水肿
供区创面不能直接闭合
取腕横纹全厚皮片
跨供区加压连续缝合打包植皮
微信截图_20231003214127.png
微信图片_20231003213627.png
回复

使用道具 举报

 楼主| 发表于 2023-9-29 09:21:59 | 显示全部楼层
另一患者跟骨骨折术后感染
内外侧贯通创面
微信截图_20230929092151.png
微信截图_20230929092211.png
回复

使用道具 举报

 楼主| 发表于 2023-9-29 09:23:32 | 显示全部楼层
彻底清创后
伤口贯通
微信截图_20230929092401.png
微信截图_20230929092332.png
回复

使用道具 举报

 楼主| 发表于 2023-9-29 09:26:07 | 显示全部楼层
抗菌素骨水泥填充覆盖
微信截图_20230929092539.png
微信截图_20230929092616.png
回复

使用道具 举报

 楼主| 发表于 2023-10-4 00:05:10 | 显示全部楼层
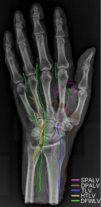
徐州医科大学解剖教研室潘伟人教授的文章图片
微信图片_20231004000516.png
回复

使用道具 举报

 楼主| 发表于 2023-10-4 00:05:33 | 显示全部楼层
怎么能够这么优秀
回复

使用道具 举报

 楼主| 发表于 2023-10-4 00:10:41 | 显示全部楼层
X线片都如此清晰
比临床片子都要清楚
微信截图_20231004001054.png
回复

使用道具 举报

 楼主| 发表于 2023-10-4 01:09:23 来自手机 | 显示全部楼层
国庆节快乐
IMG_20230930_110853.jpg
mmexport1696219227836.jpg
wx_camera_1696137454843.jpg
回复

使用道具 举报

 楼主| 发表于 2023-10-4 01:12:19 来自手机 | 显示全部楼层
本帖最后由 zhangwenlong 于 2023-10-6 21:02 编辑

主任烧烤师主厨
Screenshot_20231004_011045_com.huawei.himovie.local.jpg
微信截图_20231006210319.png
回复

使用道具 举报

您需要登录后才可以回帖 登录 | 注册

本版积分规则

QQ|Archiver|手机版|小黑屋|中华手外科网 ( 鲁ICP备16039852号-3 )鲁公网安备 37010302000762号

GMT+8, 2025-11-11 02:48 , Processed in 0.016291 second(s), 5 queries , Redis On.

技术支持:山东济南

© 2001-2013 中华手外科网

快速回复 返回顶部 返回列表