找回密码
 注册

QQ登录

只需一步,快速开始

搜索
楼主: zhangwenlong

张文龙手外科学习笔记

  [复制链接]
 楼主| 发表于 2024-3-29 23:55:33 | 显示全部楼层
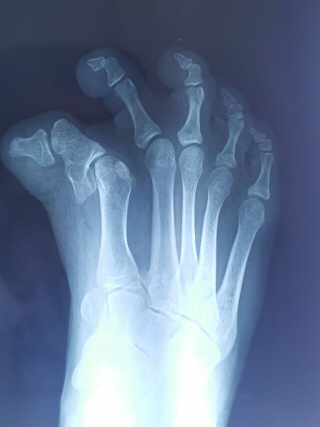
手术设计
微信图片_20240319205700.jpg
回复

使用道具 举报

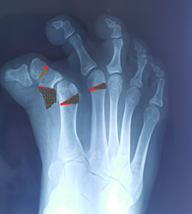
 楼主| 发表于 2024-3-29 23:55:53 | 显示全部楼层
微信图片_20240319205721.jpg
回复

使用道具 举报

 楼主| 发表于 2024-3-29 23:56:13 | 显示全部楼层
微信图片_20240319205716.jpg
回复

使用道具 举报

 楼主| 发表于 2024-3-29 23:56:40 | 显示全部楼层
微信图片_20240319205706.jpg
回复

使用道具 举报

 楼主| 发表于 2024-3-30 00:00:45 | 显示全部楼层
中节指骨宽度10mm厚度4mm
没有合适的截骨摆锯
只能用克氏针并排打孔,然后用骨刀截骨
回复

使用道具 举报

 楼主| 发表于 2024-3-30 00:04:16 | 显示全部楼层
微信截图_20240330000421.png 微信截图_20240330000339.png
回复

使用道具 举报

 楼主| 发表于 2024-3-30 00:05:22 | 显示全部楼层
另一例足拇趾多趾畸形术后
微信图片_20240330000150.jpg
回复

使用道具 举报

 楼主| 发表于 2024-3-30 00:07:04 | 显示全部楼层
微信截图_20240306195311.png
回复

使用道具 举报

 楼主| 发表于 2024-3-30 00:07:39 | 显示全部楼层
缺少一种精准截骨工具
准备设计一款利器
回复

使用道具 举报

 楼主| 发表于 2024-3-30 00:28:48 | 显示全部楼层
微信截图_20240330002906.png
回复

使用道具 举报

 楼主| 发表于 2024-3-30 21:34:40 | 显示全部楼层
本帖最后由 zhangwenlong 于 2024-4-4 20:01 编辑

今天上午特需门诊的病人
微信截图_20240404200127.png
回复

使用道具 举报

 楼主| 发表于 2024-3-30 23:10:07 | 显示全部楼层
腕关节骨性关节炎
SLAC分期:
I期,舟骨窝局限性关节炎始于桡骨茎突
II期,发展到近端舟骨窝
III期,进而出现头月关节炎
IV期,全腕关节炎
回复

使用道具 举报

 楼主| 发表于 2024-3-30 23:43:30 | 显示全部楼层
该病例需要做CT重建
判断腕关节骨性关节炎分期
根据分期决定具体术式
微信截图_20240330233005.png
回复

使用道具 举报

 楼主| 发表于 2024-3-30 23:45:41 | 显示全部楼层
四角融合的适应证和禁忌证:
微信截图_20240330234559.png
回复

使用道具 举报

 楼主| 发表于 2024-3-30 23:50:02 | 显示全部楼层
今天上午特需门诊的病例
特需门诊隔壁就是放射二科办公室
拿着片子向放射二科老师请教
内生软骨瘤和骨囊肿的影像学区别

微信截图_20240330234827.png
微信图片_20240330213325.jpg
回复

使用道具 举报

 楼主| 发表于 2024-3-30 23:50:54 | 显示全部楼层
这种骨囊肿,更接近于骨坏死早期表现
而内生软骨瘤表现为多个颗粒状影像
回复

使用道具 举报

 楼主| 发表于 2024-3-30 23:51:21 | 显示全部楼层
微信图片_20240330234833.jpg
微信图片_20240330234842.jpg
微信图片_20240330234837.jpg
回复

使用道具 举报

 楼主| 发表于 2024-3-31 00:02:58 | 显示全部楼层
这个治疗应该按照舟骨不愈合的标准做
回复

使用道具 举报

 楼主| 发表于 2024-3-31 20:53:28 | 显示全部楼层
腱鞘囊肿,有的可以按压消失
有的怎么按压都不能消失
其实,并不是把囊肿按爆裂了
而是把与腕关节相通的单向活瓣挤压开了
囊液反向流入了关节腔
所有临时消失了
而不在腕背的囊肿很少可以按压消失
这并不是绝对的,是一般规律
微信截图_20240331205051.png
回复

使用道具 举报

 楼主| 发表于 2024-3-31 21:49:50 | 显示全部楼层
明天又来一个棘手的骨折脱位
还好这个是新鲜的
节前给做了
19岁学生
微信图片_20240331214937.png
微信图片_20240331214931.png
回复

使用道具 举报

您需要登录后才可以回帖 登录 | 注册

本版积分规则

QQ|Archiver|手机版|小黑屋|中华手外科网 ( 鲁ICP备16039852号-3 )鲁公网安备 37010302000762号

GMT+8, 2025-11-11 14:31 , Processed in 0.021965 second(s), 5 queries , Redis On.

技术支持:山东济南

© 2001-2013 中华手外科网

快速回复 返回顶部 返回列表