找回密码
 注册

QQ登录

只需一步,快速开始

搜索
楼主: zhangwenlong

张文龙手外科学习笔记

  [复制链接]
 楼主| 发表于 2020-5-10 23:47:32 | 显示全部楼层
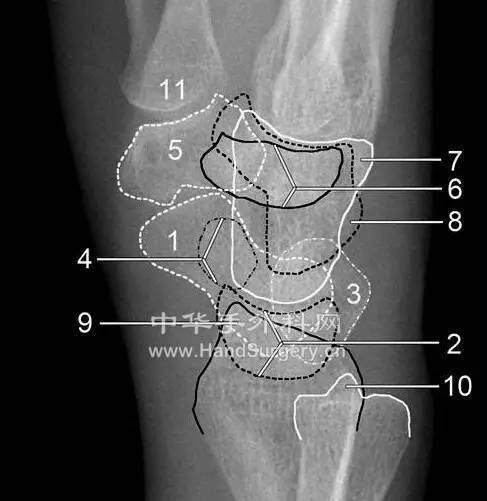
腕关节Gilula线
回复

使用道具 举报

 楼主| 发表于 2020-5-10 23:47:50 | 显示全部楼层
92750465_2.jpg
92750465_3.jpg
回复

使用道具 举报

 楼主| 发表于 2020-5-10 23:48:59 | 显示全部楼层
侧位
92750465_5.jpg
92750465_6.jpg
回复

使用道具 举报

 楼主| 发表于 2020-5-10 23:49:16 | 显示全部楼层
92750465_7.jpg
回复

使用道具 举报

 楼主| 发表于 2020-5-12 00:00:32 | 显示全部楼层
1.png
踝管综合征手术注意!!
回复

使用道具 举报

 楼主| 发表于 2020-5-12 00:03:10 | 显示全部楼层
距骨血供图
微信图片_20200512000238.png
微信图片_20200512000241.png
回复

使用道具 举报

 楼主| 发表于 2020-5-12 00:03:30 | 显示全部楼层
2种可供选择的术式
微信图片_20200512000228.png
微信图片_20200512000232.png
回复

使用道具 举报

 楼主| 发表于 2020-5-12 00:03:57 | 显示全部楼层
微信图片_20200512000222.png
跖骨头坏死术式
回复

使用道具 举报

 楼主| 发表于 2020-5-12 00:11:54 | 显示全部楼层
回复

使用道具 举报

 楼主| 发表于 2020-5-12 00:13:57 | 显示全部楼层
股骨头坏死都需要换关节吗?
https://www.toutiao.com/i6819598237779886600/
微信截图_20200512001345.png
回复

使用道具 举报

 楼主| 发表于 2020-5-13 23:00:13 | 显示全部楼层
陈旧锤状指8年,手术后功能恢复正常
术后3年随访视频:
https://www.ixigua.com/i6826336466470174733/
回复

使用道具 举报

 楼主| 发表于 2020-5-14 15:11:44 | 显示全部楼层
2012-5-13,8年前跟随导师学习解剖,开始懂得外科第一原因是熟悉正常解剖,外科医生需要坚持学习解剖,虽然人体解剖学从17世纪维萨里年代就已经非常明晰了,但要做到熟烂于心,真的需要反复学习,如庖丁解牛。通过外科手术恢复了正常解剖结构,再加上科学的功能锻炼,没有道理不恢复正常生理功能。
mmexport1589440245246.jpg
mmexport1589440235063.jpg
回复

使用道具 举报

 楼主| 发表于 2020-5-16 11:23:42 | 显示全部楼层
踝关节镜技术应用于
跟骨骨刺切除,跖腱膜跟腱止点缝合,腓骨肌腱胫后肌腱鞘管炎,关节内游离体,神经松解,肿物切除
回复

使用道具 举报

 楼主| 发表于 2020-5-16 11:41:35 | 显示全部楼层
影响关节镜光学特征的因素
倾斜角,直径,视野
倾斜角一般0度~120度,30度最常用
直径常用的是1.9mm,和2.7mm
回复

使用道具 举报

 楼主| 发表于 2020-5-16 13:57:09 | 显示全部楼层
关节镜常用器械1
探针,是医生手指的延伸,用于诊断性和治疗性关节镜手术,可以看到和感觉到病变。
感知结构的连续性,松弛度,操纵游离体到易于抓取的位置,触诊关节面,韧带,滑膜。
尽量用探针的肘部触碰,少用尖端。
回复

使用道具 举报

 楼主| 发表于 2020-5-16 14:15:36 | 显示全部楼层
器械2
剪刀一般直径3mm或4mm,用于剪切软组织。
器械3
蓝钳或活检钳,有直柄和弯柄。操作时宜小口咬除组织,不能贪多贪大,不能扭转。
器械4
抓取钳,抓取软组织维持张力,利于其它器械切割,或抓取游离体。
器械5
电动刨削系统,踝关节镜常用2.5mm的刨头
器械6
电刀,激光,射频器械
回复

使用道具 举报

 楼主| 发表于 2020-5-17 20:31:36 | 显示全部楼层
本帖最后由 zhangwenlong 于 2020-5-18 18:59 编辑

好木匠是这样锻炼的
IMG_20200517_202802.jpg

IMG_20200517_185552.jpg

IMG_20200517_185619.jpg

IMG_20200517_185656.jpg
回复

使用道具 举报

 楼主| 发表于 2020-5-18 19:06:09 | 显示全部楼层
本帖最后由 zhangwenlong 于 2020-5-18 19:19 编辑

一弦垂钓一天闲
一分雅智一丝恬
一水一绿一高楼
一时一步一追求

IMG_20200516_074327.jpg



IMG_20200516_074306.jpg
回复

使用道具 举报

 楼主| 发表于 2020-5-19 21:37:01 | 显示全部楼层
超声、核磁、麻醉医生都需要熟悉解剖

微信图片_20200519213646.png
回复

使用道具 举报

 楼主| 发表于 2020-5-19 21:40:39 | 显示全部楼层
今天手术一例踝管综合征患者
术前体表彩超显示局部囊肿形成
为了预估囊肿和神经的毗邻关系
进一步行磁共振检查
但是磁共振诊断医师还是没有能够给出确切的神经与囊肿的关系报告
回复

使用道具 举报

您需要登录后才可以回帖 登录 | 注册

本版积分规则

QQ|Archiver|手机版|小黑屋|中华手外科网 ( 鲁ICP备16039852号-3 )鲁公网安备 37010302000762号

GMT+8, 2025-10-7 08:43 , Processed in 0.028588 second(s), 5 queries , Redis On.

技术支持:山东济南

© 2001-2013 中华手外科网

快速回复 返回顶部 返回列表