找回密码
 注册

QQ登录

只需一步,快速开始

搜索
楼主: zhangwenlong

张文龙手外科学习笔记

  [复制链接]
 楼主| 发表于 2014-10-15 16:33:47 | 显示全部楼层
本帖最后由 zhangwenlong 于 2014-10-18 11:27 编辑

唐山市第二医院
关于开展显微外科规范化培训的通知

我院手外科为河北省医学重点(发展)学科,为了加强学科建设及人才培养,医院加大资金投入购置了显微镜4台、观摩教学系统工作站、显微器械、缝合材料及显微缝线等,并成立显微外科培训室,为大家提供优越的培训学习环境。为了不断提高我院住院医师显微外科基本技能,扩大我院显微外科影响力,经院领导研究决定,医院将开展显微外科规范化培训。
一、培训时间:2014年10月13日(周一)开始
              每周一至周五下午14::00-17:00
二、培训地点:显微外科培训室(手二科医办室隔壁)
三、培训导师:刘会仁、王斌、高顺红、李瑞国、张文龙
四、参加培训人员:手外科一诊值班医师必须接受显微外科规范化培训。其他临床科室医师及在读研究生自愿参加。
五、培训安排:本次规范化培训分三个阶段
第一阶段(10月15日-12月15日):
单人镜下熟练阶段,体视显微镜下缝合练习(每人缝合不少于500针),预计2个月内完成。
第二阶段(12月15日-2月15日):
双人配合练习翅中动脉吻合(每人吻合血管不少于50断口),预计2个月内完成。
第三阶段(2015年3月1日-5月1日):
鼠尾动脉吻合练习(每人吻合不少于5断口,保证通畅),预计2个月内完成。
六、预期目标:经过规范化培训,培训合格人员可以胜任断指再植手术,保证吻合口通畅率达到90%以上。
七、具体要求:
1、请各科主任(非手外科人员自愿参加培训)把培训人员名单于10月10日(周五)前报科教科。
2、显微外科培训室提供显微镜、显微器械、显微缝线、培训材料等。
3、培训过程实时录像保存。培训结束后,视频资料由显微外科技能培训师验收合格后颁发显微外科培训合格证书。
4、2014年10月13日(周一)下午16:00,所有报名参加培训人员到显微外科培训室熟悉环境及显微镜使用。培训时间自行安排。
5、由于培训室可同时安排5人缝合练习,决定下午培训的医师请在当天上午11:00之前,与实验室李艳电话联系登记)。
联系人:李艳 2058426
1.png
2.png
3.png
40.png
QQ截图20141014213337.png
1.png
回复 1 0

使用道具 举报

 楼主| 发表于 2014-10-15 16:35:21 | 显示全部楼层
本帖最后由 zhangwenlong 于 2014-10-18 11:09 编辑

唐山市第17届陶瓷博览会胜利闭幕
带着儿子去扫货
QQ截图20141014213358.png
QQ截图20141014213410.png
QQ截图20141014213423.png
QQ截图20141014213433.png
回复

使用道具 举报

 楼主| 发表于 2014-10-15 16:38:08 | 显示全部楼层
2014河北省医学适用技术重大跟踪项目
16日下午14:30开始在石家庄答辩
今天早上才通知
没办法明早坐6点大巴中午能到石家庄
回复

使用道具 举报

 楼主| 发表于 2014-10-19 13:27:25 | 显示全部楼层
本帖最后由 zhangwenlong 于 2014-10-19 13:44 编辑

1963年1月2日
陈中伟、钱允庆
王存柏,27岁,右腕离断

世界首例断臂再植
“世界断肢再植之父”
断肢再植功能恢复标准-陈氏标准
1.jpg
2.jpg
回复

使用道具 举报

 楼主| 发表于 2014-10-19 13:40:54 | 显示全部楼层
本帖最后由 zhangwenlong 于 2014-10-19 13:47 编辑

1978年10月21日
修水库意外爆炸失去双手,高天社
世界第一只再造手诞生
China hand
于仲嘉
3.jpg
回复

使用道具 举报

 楼主| 发表于 2014-10-23 20:25:25 | 显示全部楼层
本帖最后由 zhangwenlong 于 2014-10-23 20:46 编辑

今天做足底解剖
受益匪浅
有足踝外科的几个医生一起讨论
收获颇丰
感觉每次解剖都有新的认识新的理解
教学相长
意犹未尽

mmexport1413978181868.jpg
mmexport1413978190459.jpg
回复

使用道具 举报

发表于 2014-10-24 11:16:32 | 显示全部楼层
制作精美
回复

使用道具 举报

发表于 2014-11-4 01:31:19 | 显示全部楼层
zhangwenlong 发表于 2012-3-1 14:17
昨天和池征麟讨论肌腱断裂后石膏固定时间。
池老师说,屈肌腱固定4周,伸肌腱固定3周。
我说掌3背4,屈肌腱 ...

高质量的吻合屈肌腱不打石膏又怎样



回复

使用道具 举报

发表于 2014-11-8 10:28:25 | 显示全部楼层
zhangwenlong 发表于 2012-2-3 20:22
术中电刺激仪定位神经功能。
局麻下手术的。
所以既可以定位运动神经,也可以定位感觉神经。 ...

局麻似乎止血带不好用啊
回复

使用道具 举报

发表于 2014-11-9 16:29:25 | 显示全部楼层
liu-yingliang 发表于 2012-11-8 13:37
原来这就是叫的很诱人的菠萝蜜多??

成熟的菠萝蜜甜如蜜、臭如屎。有好多人觉得香
回复

使用道具 举报

 楼主| 发表于 2014-11-9 21:09:56 | 显示全部楼层
本帖最后由 zhangwenlong 于 2014-11-9 21:15 编辑

唐山市手外科学会会议圆满结束
1.png
2.png
3.png
回复

使用道具 举报

 楼主| 发表于 2014-11-9 21:21:11 | 显示全部楼层
我科高顺红主任
汇报腕关节不稳定
1.png
2.png
3.png
回复

使用道具 举报

 楼主| 发表于 2014-11-9 21:23:28 | 显示全部楼层
辛招兵 发表于 2014-11-8 10:28
局麻似乎止血带不好用啊

大多数患者可以坚持30min以上
坚持60分以上的比较少
患者有不适反应时应及时松掉
回复

使用道具 举报

 楼主| 发表于 2014-11-9 21:24:58 | 显示全部楼层
467338030 发表于 2014-11-4 01:31
高质量的吻合屈肌腱不打石膏又怎样

在当前的医疗环境下
医患关系下
最好不要冒险
回复

使用道具 举报

 楼主| 发表于 2014-11-9 21:39:33 | 显示全部楼层
本帖最后由 zhangwenlong 于 2014-11-9 21:44 编辑

我院赵刚院长给河北联合大学2014级新入学研究生
讲如何做一名合格的医学硕士研究生
提出现代医学研究生必须具备的素质
会看病
善沟通
精英语
懂科研
有学生提到科研和手术哪个重要

如果来应聘,院长更喜欢那种人才
院长很诙谐的说
当然既会做手术又会搞科研的人才最好
如果非要选择一个
还是会选择会手术的一个
当大夫会看病是基本条件
1.png
2.png
3.png
5.png
回复

使用道具 举报

 楼主| 发表于 2014-11-9 21:58:59 | 显示全部楼层
本帖最后由 zhangwenlong 于 2014-11-9 22:03 编辑

强生公司缝线部
在我科组织肌腱缝合技术培训
材料包括
猪肉、猪蹄、鸡爪
用猪肉练习皮内缝合法时
出现争议
用笔在布上画了一个示意图
大家在临床上验证一下3个方法哪个缝合方法更好
0.png
1.png
2.png
3.png
4.png
5.png
6.png
7.png
E081657A-386B-4F7B-BD0F-A694F88FDF6D.jpg
回复

使用道具 举报

 楼主| 发表于 2014-11-9 22:16:20 | 显示全部楼层
本帖最后由 zhangwenlong 于 2014-11-9 22:18 编辑

山东省德州市平原县医院
院长兼党委书记、业务副院长、显微外科主任及一名医生
一行四人专程来我院考察参观临床解剖实验室及显微外科培训室
对我院实验室建设给予高度评价

0.png
1.png
2.png
3.png
7.png
4.png
回复

使用道具 举报

发表于 2014-11-11 10:05:31 | 显示全部楼层
zhangwenlong 发表于 2014-11-9 21:58
强生公司缝线部
在我科组织肌腱缝合技术培训
材料包括

哪个方法好?
回复

使用道具 举报

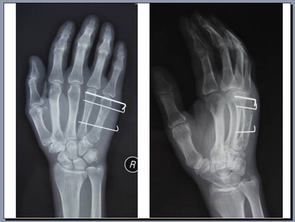
 楼主| 发表于 2014-11-11 23:58:56 | 显示全部楼层
本帖最后由 zhangwenlong 于 2014-11-13 21:42 编辑

手外科会议带去一个讨论题目
1.jpg

2.jpg

3.jpg

4.jpg

5.jpg

6.jpg

7.jpg

8.jpg

9.jpg
回复

使用道具 举报

发表于 2014-11-12 12:46:54 | 显示全部楼层
我记得以前在哪里看过一个末节再植血供动漫图,谁有?谢谢!
回复

使用道具 举报

您需要登录后才可以回帖 登录 | 注册

本版积分规则

QQ|Archiver|手机版|小黑屋|中华手外科网 ( 鲁ICP备16039852号-3 )鲁公网安备 37010302000762号

GMT+8, 2025-10-3 15:38 , Processed in 0.030435 second(s), 5 queries , Redis On.

技术支持:山东济南

© 2001-2013 中华手外科网

快速回复 返回顶部 返回列表