找回密码
 注册

QQ登录

只需一步,快速开始

搜索
楼主: czl661111

[手指再造] 全型拇再造后供区修复的一种新方法(术后更新105楼)

  [复制链接]
发表于 2012-7-1 20:15:10 | 显示全部楼层
外观相当漂亮,
回复

使用道具 举报

发表于 2012-7-3 09:50:31 | 显示全部楼层
太帅了,加强学习喽!简直就是艺术品!
回复

使用道具 举报

发表于 2012-7-5 21:16:58 | 显示全部楼层
显微外科一代英豪啊
回复

使用道具 举报

发表于 2012-7-5 22:43:22 | 显示全部楼层
漂亮,期待后续报道。
回复

使用道具 举报

 楼主| 发表于 2012-7-6 09:30:23 | 显示全部楼层
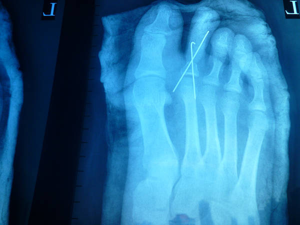
今天拍的术后情况
1.jpg
3.jpg
2.jpg
4.jpg
5.jpg
6.jpg
7.jpg
8.jpg
9.jpg

评分

1

查看全部评分

回复

使用道具 举报

 楼主| 发表于 2012-7-6 09:55:04 | 显示全部楼层
皮瓣还是没做好有点臃肿!下次注意
回复

使用道具 举报

发表于 2012-7-6 11:42:06 | 显示全部楼层
回复

使用道具 举报

发表于 2012-7-6 19:20:20 | 显示全部楼层
幸福的病人,一个好的医师对病人是多么的重要。想老大学习
回复

使用道具 举报

发表于 2012-7-6 19:45:42 | 显示全部楼层
好东西
回复

使用道具 举报

发表于 2012-7-6 22:17:44 | 显示全部楼层
非常非常的漂亮 请问术后病人饮食好吗? 营养因素也可以促进愈合的!
回复

使用道具 举报

发表于 2012-7-7 09:30:56 | 显示全部楼层
  漂亮!
回复

使用道具 举报

发表于 2012-7-7 18:21:14 | 显示全部楼层
这样的手术多久能出院呢?
回复

使用道具 举报

 楼主| 发表于 2012-7-11 14:55:05 | 显示全部楼层
一般半个月就可以
回复

使用道具 举报

发表于 2012-7-11 20:57:48 | 显示全部楼层
迟老师的才是全形再造。佩服。旋髂浅皮瓣携带旋髂深髂骨瓣怎么切在一起?足背动脉跖底穿支吻合旋髂浅?足背静脉吻合旋髂浅伴行静脉?
回复

使用道具 举报

发表于 2012-7-11 21:26:43 | 显示全部楼层
呵呵,顶一下10楼
回复

使用道具 举报

发表于 2012-7-11 22:38:37 | 显示全部楼层
这个真的漂亮!!!!世上真的有!顶
回复

使用道具 举报

发表于 2012-7-12 19:10:00 | 显示全部楼层
漂亮  顶一下
回复

使用道具 举报

发表于 2012-7-12 23:51:41 | 显示全部楼层
做的很漂亮了!向前辈致敬!
回复

使用道具 举报

发表于 2012-7-13 20:49:14 | 显示全部楼层
没有看到,可惜了
回复

使用道具 举报

发表于 2012-7-13 21:23:04 | 显示全部楼层
外形很漂亮,过程很漂亮,堪称经典.更重要的是患者一定很满意.这是做大夫的最大满足.
回复

使用道具 举报

您需要登录后才可以回帖 登录 | 注册

本版积分规则

QQ|Archiver|手机版|小黑屋|中华手外科网 ( 鲁ICP备16039852号-3 )鲁公网安备 37010302000762号

GMT+8, 2025-11-29 14:38 , Processed in 0.024413 second(s), 9 queries , Redis On.

技术支持:山东济南

© 2001-2013 中华手外科网

快速回复 返回顶部 返回列表