找回密码
 注册

QQ登录

只需一步,快速开始

搜索
楼主: czl661111

[手指再造] 拇再造术后供区的另一种修复(12.23随访照片来了)

  [复制链接]
发表于 2011-11-25 13:24:57 | 显示全部楼层
回复

使用道具 举报

发表于 2011-11-25 14:30:58 | 显示全部楼层
池老师手术做的确实漂亮。有个疑问:既然食指切除了,为何不直接把废弃食指指骨连同食指皮瓣修复再造供区,这样就不用取游离腓骨皮瓣了
回复 1 0

使用道具 举报

发表于 2011-11-25 15:43:15 | 显示全部楼层
有点看杂技的感觉,只能欣赏,不敢学和照做.
望尘莫及!!!
回复 0 1

使用道具 举报

发表于 2011-11-25 16:28:54 | 显示全部楼层
太强悍啦
回复

使用道具 举报

发表于 2011-11-27 18:22:50 | 显示全部楼层
高手。。。。。。。。。。。。。
回复

使用道具 举报

发表于 2011-11-27 22:39:25 | 显示全部楼层
学习了
回复

使用道具 举报

发表于 2011-11-28 09:31:56 | 显示全部楼层
漂亮学习了
回复

使用道具 举报

发表于 2011-11-28 13:04:51 | 显示全部楼层
池主任,应该是本网站最牛的人了,佩服
回复

使用道具 举报

发表于 2011-12-11 18:23:54 | 显示全部楼层
想问下池老师您手术中照片是你们科医生还是手术室护士拍得呢,还是专业摄影师照得呀?另外问下你们用的是什么相机及具体型号呀?谢谢答复!
回复

使用道具 举报

发表于 2011-12-11 20:32:38 | 显示全部楼层
高手就是高手!强!
回复

使用道具 举报

发表于 2011-12-11 23:35:26 | 显示全部楼层
高人,学习了。
回复

使用道具 举报

发表于 2011-12-12 06:07:59 | 显示全部楼层
池兄有时间把详细的过程给介绍一下
回复

使用道具 举报

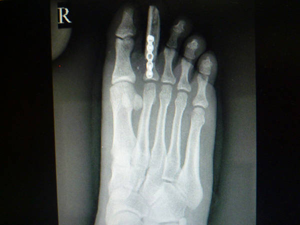
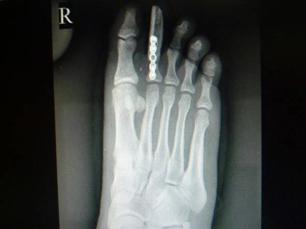
 楼主| 发表于 2011-12-23 10:42:28 | 显示全部楼层
1.jpg 2.jpg 3.jpg 4.jpg 5.jpg 6.jpg 7.jpg 8.jpg 9.jpg 10.jpg 11.jpg 12.jpg 13.jpg
回复

使用道具 举报

发表于 2011-12-23 15:31:32 | 显示全部楼层
功能和外观都很好,学习了,池主任的病人应该感到幸运和幸福
回复

使用道具 举报

发表于 2011-12-23 16:40:00 | 显示全部楼层
再次折服!
回复

使用道具 举报

发表于 2011-12-23 17:41:06 | 显示全部楼层
强悍。漂亮加完美。
回复

使用道具 举报

发表于 2011-12-23 19:13:49 | 显示全部楼层
好厉害啊
回复

使用道具 举报

发表于 2011-12-23 21:53:53 | 显示全部楼层
池老师是手外科患者的福音
回复

使用道具 举报

发表于 2011-12-23 23:54:23 | 显示全部楼层
呵呵,又一次惊喜
回复

使用道具 举报

发表于 2011-12-24 01:24:54 | 显示全部楼层
太强了,看你的作品就是一种享受
回复

使用道具 举报

您需要登录后才可以回帖 登录 | 注册

本版积分规则

QQ|Archiver|手机版|小黑屋|中华手外科网 ( 鲁ICP备16039852号-3 )鲁公网安备 37010302000762号

GMT+8, 2025-11-17 15:27 , Processed in 0.017220 second(s), 5 queries , Redis On.

技术支持:山东济南

© 2001-2013 中华手外科网

快速回复 返回顶部 返回列表