找回密码
 注册

QQ登录

只需一步,快速开始

搜索
查看: 5411|回复: 19

左手多发掌骨骨折X片

[复制链接]
发表于 2011-6-4 16:34:33 | 显示全部楼层 |阅读模式
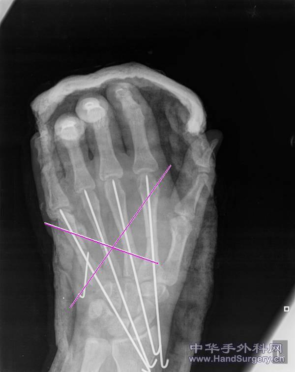
a.jpg
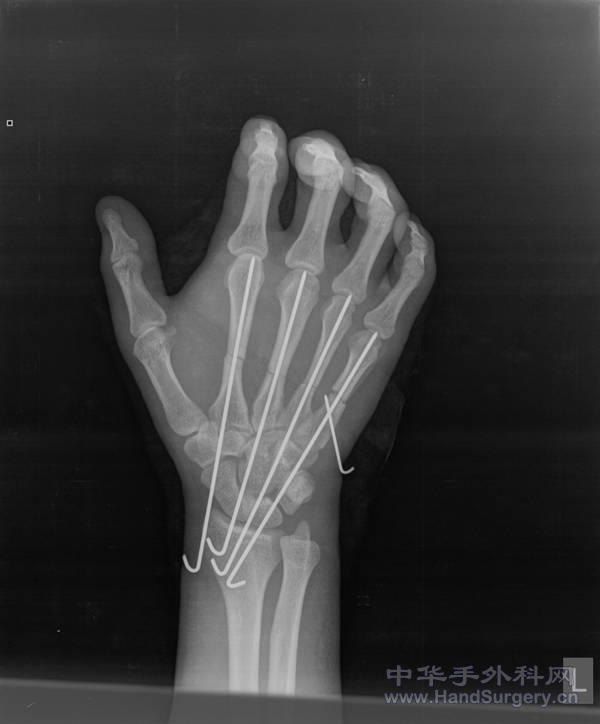
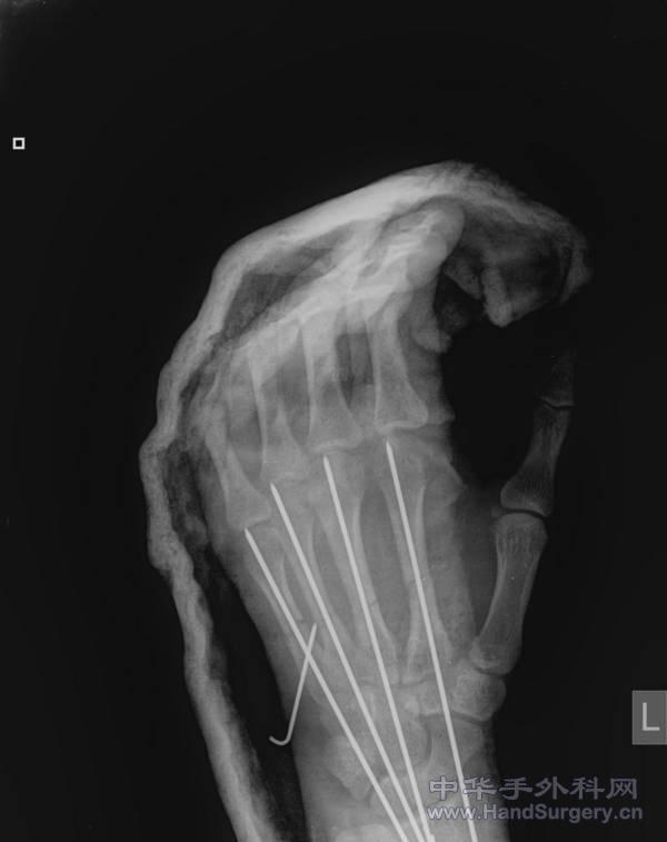
患者因机器挤压伤入院,左手多发掌骨骨折,入院后给予切开复位克氏针内固定术,本人认为克氏针内固定不通过掌指关节对手的功能影响较小,且克氏针固定手术简单,愈合快。
b.jpg
c.jpg
术中拍片
d.jpg
e1.jpg
术后1月,准备去除石膏,加强功能锻炼。

评分

2

查看全部评分

发表于 2011-6-4 17:23:06 | 显示全部楼层
第4、5掌骨克氏针好像已经过关节面啦
回复

使用道具 举报

发表于 2011-6-4 17:24:42 | 显示全部楼层
克氏针也应早取。为什么不用钢板呢,对功能影响小
回复

使用道具 举报

发表于 2011-6-4 18:29:34 | 显示全部楼层
针尾置于什么位置?
回复

使用道具 举报

发表于 2011-6-4 19:10:54 | 显示全部楼层
不错  
回复

使用道具 举报

发表于 2011-6-4 19:12:58 | 显示全部楼层
第5掌骨斜行克氏针什么意思?
回复

使用道具 举报

发表于 2011-6-4 19:16:09 | 显示全部楼层
手术为什么要这样做呢?完全可以克氏针交叉固定,也不用弄这么长,也可以不用打石膏,术后就可以进行功能锻炼。第一次看这样固定的。
回复

使用道具 举报

发表于 2011-6-4 19:37:53 | 显示全部楼层
回复 周明 的帖子

1、第一次见这样固定的;有什么好处吗?
2、第五掌骨斜行克氏针是什么意思,没有看懂?
3、术后石膏固定需要一个月吗?能不能早点拆石膏?
4、术后功能锻炼,腕关节受影响吗?
望告知。。。
回复

使用道具 举报

发表于 2011-6-4 20:31:12 | 显示全部楼层
我也很想知道9楼的问题的答案  
回复

使用道具 举报

发表于 2011-6-4 20:35:52 | 显示全部楼层
望楼主回复9楼意见
回复

使用道具 举报

发表于 2011-6-4 21:21:47 | 显示全部楼层
这种病历真的值得好好讨论一下,,,,
我也见过有打到关节里去的,,不尽量多容易移位,,而且要做得埋得漂亮不那么容易取。。
书上一般写是这样打的。。
但我一般用从掌骨头进和取的。。做完就可以段炼,,不用石膏。。
回复

使用道具 举报

发表于 2011-6-4 21:22:36 | 显示全部楼层
楼上说得对,,第五掌骨斜形钢针白打了、
回复

使用道具 举报

发表于 2011-6-5 08:24:01 | 显示全部楼层
,钢板吧。
回复

使用道具 举报

发表于 2011-6-5 09:35:52 | 显示全部楼层
第一次看到,想看一下术中切口情况,针尾穿出情况,希望听到楼上的答案!
回复

使用道具 举报

发表于 2011-6-5 15:04:44 | 显示全部楼层
设悬念!期望解答中!
回复

使用道具 举报

发表于 2011-6-5 15:53:26 | 显示全部楼层
掌骨骨折最好是上钢板,可以早期功能锻炼,如果患者经济条件不允许,那就交叉克氏针固定,很多书本上的固定方法根本就不适用了。
回复

使用道具 举报

发表于 2011-6-5 18:56:00 | 显示全部楼层
     我会交叉打,当然有“C”臂辅助会更好打一点   

见红线

见红线
回复

使用道具 举报

发表于 2011-6-5 19:53:16 | 显示全部楼层
回复 只想做助手 的帖子

只需要两枚克氏针吗?
回复

使用道具 举报

发表于 2011-12-20 11:49:44 | 显示全部楼层
回复

使用道具 举报

发表于 2011-12-20 12:38:40 | 显示全部楼层
最起码钢针应该从远端出吧
回复

使用道具 举报

您需要登录后才可以回帖 登录 | 注册

本版积分规则

QQ|Archiver|手机版|小黑屋|中华手外科网 ( 鲁ICP备16039852号-3 )鲁公网安备 37010302000762号

GMT+8, 2025-11-19 09:14 , Processed in 0.017798 second(s), 5 queries , Redis On.

技术支持:山东济南

© 2001-2013 中华手外科网

快速回复 返回顶部 返回列表